수원치과 임플란트를 해야 하는데 뼈가 부족해요

안녕하세요.
수원치과
스마트한결치과입니다.😊
오늘은 왼쪽 위
상악동거상술을 진행한
환자분을 소개해 드리려고 합니다!
치아를 잃은 뒤 임플란트 치료를 고려할 때,
잇몸뼈의 양과 두께는
매우 중요한 요소예요.
특히 위쪽 어금니 부위는
상악동이라는 빈 공간이 위치해 있어,
뼈의 높이가 충분하지 않으면
임플란트를 바로 심기 어려운
경우가 많은데요.
이런 상황에서 시행되는 수술이
바로 상악동거상술이랍니다.
상악동거상술은 얇아진 뼈 아래 공간을
들어 올려 인공뼈를 보강함으로써
임플란트를 안정적으로
식립 할 수 있도록
돕는 시술이에요.
오늘은 수원치과 스마트한결에서
상악동거상술을 동반한 임플란트 식립을
진행한 사례를 설명해 드리겠습니다~☺️

위 환자분께서는
왼쪽 위 치아가 없어 식사하기 불편한데
잇몸뼈가 부족하단 말씀을
들으셨다고 하셨어요.
그래서 뼈이식과 임플란트를 위해
구강악안면외과 전문의가 있는
수원치과 스마트한결에
내원해 주셨는데요.
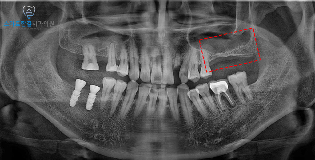
파노라마를 촬영해 확인해 보니,
왼쪽 위 큰 어금니의 상실로 인해
양측으로 식사하기 힘든 상황이었어요.

또한 치아가 오랫동안
없는 상태로 방치되면서,
치조골이 점차 흡수·소실되어
뼈의 높이가 부족한 상황이 되었어요.
이로 인해 임플란트만
바로 식립하기는 어려웠고,
상악동거상술을 통해 부족한 뼈를
보강하는 과정이 필요했는데요.
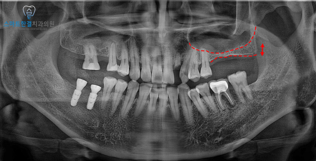
환자분처럼 뼈의 높이가 많이 부족한 경우에는
치조정 접근만으로는 한계가 있기 때문에,
측방으로 접근하는 방법을 통해
상악동을 들어 올리고 인공뼈를
이식하는 과정이 필요했어요.
그래서 본원에서는 상악동거상술을 진행하여
충분한 뼈의 공간을 확보한 뒤,
안정적으로 임플란트를 식립할 수 있도록
계획을 수립했답니다.

측방으로 접근하여
잇몸뼈를 조심스럽게 열고,
상악동 막을 들어 올린 뒤
그 공간에 인공뼈를 이식하는
과정을 진행했어요.
이를 통해 임플란트를
안정적으로 식립 할 수 있는
충분한 골량을 확보할 수 있었어요.
상악동거상술 진행 후에는
환자분께 주의사항에 대해
꼼꼼히 안내해 드렸어요!
특히 초기 치유 기간 동안에는
무리한 힘이 가해지지 않도록 주의하고,
코를 세게 푸는 행동이나
심한 운동은 피해야 하며,
처방된 약을 규칙적으로 복용하면서
정기적으로 내원해 경과를
확인하실 수 있도록 설명드렸답니다.☺
알려드린 주의사항을 잘 지켜주셔서
지금까지 특별한 이상 없이
뼈가 안정적으로 자리 잡고 있어요.^^

환자분께서는 상악동거상술을 통해
뼈를 만들고 임플란트로 치아를
만들 수 있어 다행이라며
매우 좋아해주셨어요!😊
또한 수술 받으면서
아프거나 불편한 거 없이
잘 해주셔서 크게 힘들지도 않았다며
만족해주셨어요.^^
이처럼 수원치과 스마트한결에서는
단순히 임플란트를 심는 데 그치지 않고,
환자분의 뼈 상태와 구강 구조를
정밀하게 분석한 뒤 필요한 경우
상악동거상술 등 다양한 술식을 통해
만족도 높은 치료 결과를
제공해드리고 있어요.
또한 구강악안면외과 전문의
박한결 대표원장님께서는
오랜 경험을 토대로
고난이도 수술 및 임플란트를
안정적이고 체계적으로 진행하고 있어요!
잇몸뼈 소실로 인해 임플란트를
못할까 걱정이 되신다면
수원치과 스마트한결치과에 내원하셔서
정밀한 진단을 받아보시길 바래요.😄
감사합니다~^^
*모든 증례 사진은 의료법 제23조, 제56조에 의거하여 환자분의 동의하에 업로드가 진행되었습니다.
*치료 사진은 모두 본원에서 치료한 환자분의 사진입니다.
*치료 사진은 모두 동일인의 사진이며, 동일 조건에서 촬영하였습니다.
*개인의 차이에 따라 시술 및 수술 후 부작용이 발생할 수 있으며, 의료진과 충분한 상담을 받으시기 바랍니다.