팔달구치과 앞니에 물집이 생겼어요

안녕하세요.
팔달구치과
스마트한결치과입니다.😊
오늘은 재신경치료와
치근단절제술을 진행한
환자분을 소개해 드리려고 합니다!
오래된 신경치료 치아는
시간이 지남에 따라 여러 가지 이유로
문제가 발생할 수 있어요.
특히, 근관 내 오염이나 세균 침투로 인해
치아의 뿌리 끝에 염증이 생길 수 있으며,
이는 통증과 불편함을 유발할 수 있어요.
신경치료가 제대로 이루어지지 않거나,
시간이 지나면서 치료된 부분이
다시 감염되면 염증이
재발할 수 있기 때문에
추가적인 치료가 필요해요.
이러한 경우, 재신경치료와
치근단절제술을 통해
감염된 부위를 제거하고,
치아를 건강하게 유지하는
방법이 중요해요.
오늘은 팔달구치과 스마트한결에서
재신경치료와 치근단절제술을 진행한
사례를 설명해 드리도록 하겠습니다~😊

위 환자분께서는
오래전 신경치료를 받았던 앞니의
잇몸에 물집이 잡혀 내원해 주셨어요.
건드렸을 때 통증도 있으셨으며
잇몸이 붓고 불편함이 계속되어
일상생활에서 어려움을 겪고 있었는데요.

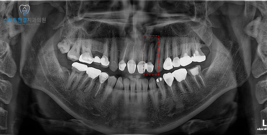
파노라마 사진을 확인해 보니,
왼쪽 위 앞니에 뿌리 끝으로 염증이
잡혀있는것을 확인할 수 있었어요.
신경치료를 진행한 치아의
근관 내 오염으로 인해
뿌리 끝에 감염이 발생하고,
그로 인해 염증이 발생한 상태였는데요.
기존 신경치료가 시간이 지나면서
완전하게 처리되지 않았거나,
근관 내부에 미세한 세균이
남아 있었던 것으로 보여요.
이로 인해 염증이 계속해서 진행되어
잇몸에 고름이 차는 증상이 나타났으며,
통증이 동반되면서
불편함을 초래하게 되었어요.
그래서 팔달구치과 스마트한결에서는
재신경치료를 진행하고,
뿌리 끝 절제를 통해
감염된 부위를 제거하는
치료 계획을 수립하였답니다!

먼저 기존 보철 제거 후
신경치료 재료들을 제거하여
내부를 깨끗하게 청소하고,
오염된 부분을 제거하고
새롭게 밀봉하는 과정을 거쳤어요.
이렇게 재신경치료가 끝난 후
염증이 발생한 뿌리 끝 부분을 절제하여
염증을 완전히 제거하고
치아를 보존할 수 있도록 했어요.
이후 염증이 가라앉고,
치아의 상태가 안정될 때까지
시간을 기다린 후,
치아의 기능과 외관을 회복하기 위해
새로운 보철물을 제작했어요.
재신경치료와 치근단절제술을
병행하여 염증이 제거된 후,
치아의 상태는 안정되었고
최종적으로 치아를 보존하며
건강한 기능을 회복할 수 있는
결과를 얻을 수 있었어요.^^

팔달구치과 스마트한결의
치료 전후 사진이에요.
처음과 다르게 염증이
줄어든게 보이시나요?
환자분께서는 살짝만 건드려도
불편하고 발치를 해야할까
걱정하셨는데,
자연치아를 살릴 수 있어
매우 만족해주셨어요.^^
이처럼 신경치료를 한 치아에
염증이 생기면 기에는 통증이나
불편함이 적어도 시간이 지나면서
감염이 진행될 수 있어요.
이런 경우,
추가적인 치료가 필요하며,
재신경치료와 치근단절제술을 통해
염증을 제거하고 치아를
보존할 수 있답니다.
치료를 통해 자연치아를 살릴 수 있는
가능성이 높아지며,
환자분들은 발치 걱정 없이
치료 후 만족스러운 결과를
얻을 수 있어요.^^

팔달구치과 스마트한결치과는
환자분들의 소중한 치아를
살리는 방향으로 진단하여,
가능한 한 치아를 보존하는 치료를
우선적으로 고려하고 있어요.
구강악안면외과 및 통합치의학과
더블보드 전문의인
박한결 대표원장님께서
책임지고 진료를 하고 있어요.
또한 화요일 야간진료로
바쁜 직장인과 학생들도
편리하게 진료를 받으실 수 있도록
배려하고 있답니다.
또한 모든 환자분들이
최적의 치료를 받을 수 있도록
정성을 다하고 있으며,
각 환자에게 맞춤형 치료를
제공하고 있어요.
위 사례처럼 신경치료를 받았던 치아에
통증이나 잇몸에
물집이 생겨 불편하시다면
팔달구치과 스마트한결에 내원하셔서
정밀한 진단을 받아보시길 바랍니다.
감사합니다~^^
*모든 증례 사진은 의료법 제23조, 제56조에 의거하여 환자분의 동의하에 업로드가 진행되었습니다.
*치료 사진은 모두 본원에서 치료한 환자분의 사진입니다.
*치료 사진은 모두 동일인의 사진이며, 동일 조건에서 촬영하였습니다.
*개인의 차이에 따라 시술 및 수술 후 부작용이 발생할 수 있으며, 의료진과 충분한 상담을 받으시기 바랍니다.