팔달구치과 오래전 치료 받은 곳이 아파요

안녕하세요.
팔달구치과
스마트한결치과입니다. 🙂
오늘은 왼쪽 위 재신경치료 및 치근단절제술을
진행한 환자분을 소개해 드리려고 합니다. 😊
치아 치료 후에는 적절한 관리가
이루어지지 않으면
다양한 합병증이 발생할 수 있어요.
특히 신경치료를 받은 후
크라운을 씌우지 않고 방치한 경우,
시간이 지나면서 치아의
뿌리 끝에 염증이 생길 수 있는데요.
이러한 염증은 불편감과 통증을 유발하며,
치아의 건강에 심각한
영향을 미칠 수 있어요.

위 환자분께서는 30대 여성분으로
오래전 왼쪽 위 치아의 신경치료 후
크라운을 씌우지 않은채로 지내오셨는데요.
최근 들어 통증이 발생하고
잇몸을 누를 때 마다 불편하여
본원에 내원해 주셨어요.

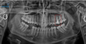
<정밀 진단 후 치료 계획 수립>
치아의 상태를 더 정밀하게 확인하기 위해
파노라마와 CT 촬영을 진행해본 결과,
치아 뿌리 끝에 염증이 있는
부분이 발견되었어요.
특히, 이 병소는 치아의 뿌리와
가까운 부위에 위치해 있으며,
상악동(코 위의 빈 공간)과
연결된 모습이 보였는데요.
즉, 치아와 상악동이
서로 영향을 주고받고 있는 상태로,
이로 인해 통증이나 불편함이
발생할 수 있답니다.
본원에서는 환자분이
젊은 여성분이셨기 때문에,
치아를 보존하는 방향으로
치료를 진행하기로 했는데요.
임플란트보다는 기존 치아를 살릴 수 있는
재신경치료와 치근단절제술을 통해
문제를 해결하는 것이
더 바람직하다고 판단되었어요.
이 방법은 치아를 보존하면서도
염증을 제거하고 치아의 기능을
회복시킬 수 있는 치료법이에요.

<재신경치료 진행>
기존 치료 시 메탈 포스트를 활용하여
신경치료가 이루어졌으나,
염증이 발생한 근관이 아닌
다른 근관에 포스트가
삽입된 상태였는데요.
이를 통해 염증이 있는 부위에
접근할 수 있다고 판단하여,
우선적으로 재신경치료를 진행하기로 했어요.
재신경치료를 통해 염증을 제거하고,
치아의 상태를 개선하는 데 집중했어요.

<치근단절제술 진행>
재신경치료를 진행하면서,
치근단절제술을 진행하였어요.
치료를 위해 잇몸을 열어보니,
치아의 뿌리 끝 부분에서
고름이 나오는 것을 확인할 수 있었어요
이 고름은 염증이 생긴 부위에서 나온 것이었고,
상악동(코와 연결된 부위)의 막과
잘 분리하여 염증이 있는 부분만
제거할 수 있었답니다.
이렇게 뿌리 끝 부분을
정밀하게 제거한 후,
차근단절제술(apicoectomy)을 진행하여
염증을 해결하고 치아의 건강을 회복시켰어요.
이후, 치료를 받은 후
환자분의 증상은 빠르게 호전되었고,
현재 신경치료 마무리를
앞두고 있는데요.
치료가 끝나면, 크라운을 통해
치아를 보호하고 재감염을
방지할 예정이며,
크라운은 치아를 튼튼하게 해주고
외부의 자극이나 세균으로부터
치아를 보호하는 중요한 역할을 한답니다.

팔달구치과 스마트한결치과에서의
치료가 마무리 되었는데요.
환자분께서는 치아를 살릴 수 있어
다행이라며 좋아해 주셨으며,
불편했던 통증도 사라져서
매우 만족해 주셨어요.
이처럼, 적절한 치료와 신속한 대응으로
치아를 보존할 수 있었고,
환자분의 삶의 질도
크게 향상되었답니다.

팔달구치과 스마트한결치과에서는
자연치아를 살리는 것을 최우선으로 생각하며,
환자분의 치아 건강을 지키기 위한
최적의 치료 방법을 제공하고 있어요.
구강악안면외과 및 통합치의학과
더블보드 전문의이신 대표원장님께서
직접 진료와 치료를 진행하시며,
최신 기술과 깊은 경험을 바탕으로
좋은 치료 결과를 이끌어내고 있어요.
또한 환자 한 분 한 분에 맞는
맞춤형 치료를 제공하여,
건강하고 아름다운 미소를 되찾을 수 있도록
최선을 다하고 있는데요.
그리고 평소 내원이 어려우신 분들을 위해
화요일 야간진료를 통해
바쁜 일정에도 편리하게 진료를 받을 수 있도록
서비스를 제공하고 있어요.
위 사례와 같이 신경치료를 받았던 치아의
통증이 갑자기 생겼다면
방치하지 말고 팔달구치과 스마트한결에서
정밀한 진단을 받아보시길 바래요!
감사합니다~^^
*모든 증례 사진은 의료법 제23조, 제56조에 의거하여 환자분의 동의하에 업로드가 진행되었습니다.
*치료 사진은 모두 본원에서 치료한 환자분의 사진입니다.
*치료 사진은 모두 동일인의 사진이며, 동일 조건에서 촬영하였습니다.
*개인의 차이에 따라 시술 및 수술 후 부작용이 발생할 수 있으며, 의료진과 충분한 상담을 받으시기 바랍니다.