팔달구치과 잇몸에 물집이 생겼어요

안녕하세요.
팔달구치과
스마트한결치과입니다. 🙂
오늘은 왼쪽 위 치아의
발치 및 낭종제거술
진행한 환자분을 소개해 드리려고 합니다. 😊
치아는 음식을 씹고 말하는 데
꼭 필요한 중요한 기관이지만,
세균 감염이나 충치가 심해지면
내부의 신경까지 손상될 수 있어요.
이때 진행되는 치료가
바로 신경치료인데,
치아 내부의 감염된 신경을 제거하고
내부 공간을 소독 및 충전하여
치아를 보존하는 방법이에요!
그러나 신경치료 후에도
시간이 지나면서 염증이 다시 생기거나,
치아 뿌리 끝에 고름주머니처럼
치근낭종이 형성되는 경우가 있는데요.
이런 상태가 반복되면
주변 뼈까지 손상될 수 있어
발치와 함께 염증 조직을
제거하는 치료가 필요할 수 있어요.
오늘은 팔달구치과 스마트한결에서
치아 발치 및 낭종제거술을
진행한 사례를 설명해 드리겠습니다~😊

위 환자분께서는
이전에 왼쪽 위 치아에
신경치료를 받은 이력이 있으셨는데요.
최근 해당 부위 잇몸에 물집처럼
고름이 차오르는 증상이 반복되어
불편감을 느끼시고 내원해 주셨어요.

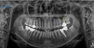
자세히 확인을 하기 위해
파노라마 촬영을 해보았는데요.
해당 치아 뿌리 끝에
염증이 크게 잡혀있는 것을
확인할 수 있었어요.
이러한 상태는
단순한 잇몸 질환이 아니라
치아 뿌리 깊은 곳에서 비롯된 문제로,
치근낭종이 동반될 가능성도 있기 때문에
적절한 치료가 반드시 필요했어요.
또한 신경치료가
이미 되어있는 치아이기 때문에
재치료만으로는 염증을
완전히 제거하기 어려운 상황이었습니다.
그래서 팔달구치과 스마트한결에서는
치아를 무리하게 유지하기보다,
발치를 통해 원인 치아를 제거하고 동시에
뿌리 끝에 형성된 치근낭종을
함께 제거하는 것이 재감염을 막고
주변 조직의 회복을 도울 수 있는 방법이라 판단하여
발치 및 낭종제거술을 진행하기로 했어요.😊

발치를 진행한 모습이예요 ^^
치아 뿌리 끝에 염증이
오래 자리 잡고 있었기 때문에
발치 과정에서 치아와 분리되어,
발치와 바닥에는 염증 조직이
그대로 남아 있는 상태였어요.
이러한 염증은 남겨두면
재발의 원인이 될 수 있으므로,
소파를 통해 염증 조직을
꼼꼼하게 긁어내는 과정이 필요해요.
발치와 내부를 깨끗하게 정리해야만
새로운 뼈가 건강하게 차오르며
양호한 치유가 이루어질 수 있기 때문이랍니다.

이렇게 깨끗하게 소파하여
잇몸 물집의 원인이었던
치근낭종을 제거했어요.

발치 후 파노라마 사진을 촬영하여
염증 부위가 남아 있지 않고
발치와 주변이 깨끗하게 정리된 것을
확인할 수 있었어요.
발치 직후에는 뼈가 차오르기 전까지
치유 과정이 중요한 시기이므로,
정기적인 경과 관찰과 구강 위생 관리가
무엇보다 필요해요!
환자분께서도 안내드린
주의사항을 잘 지켜주시고
협조해 주신 덕분에 치료가
원활히 마무리될 수 있었어요.
앞으로도 경과를 꾸준히 확인하며
건강한 구강 상태를 유지하실 수 있도록
지속적인 관리가 이어질 예정이랍니다.😄

환자분께서는 치료 전에는
잇몸에 물집이 반복적으로 생기고
치아 불편감까지 겹쳤었는데요.
하지만 발치와 함께 염증 조직을
깨끗하게 제거한 뒤에는
잇몸의 불편함이 사라지고 통증도 해소되면서
편안함을 되찾으실 수 있었어요.☺️
치료 결과에 만족해 주셔서
본원에서도 매우 보람을
느낄 수 있었어요.^^
팔달구치과 스마트한결에서는
대학병원 구강악안면외과 진료교수 출신,
구강악안면외과 + 통합치의학과
더블보드 전문의인 박한결 대표원장님께서
책임지고 진료를 하고 있어요.
잇몸에 물집이 생겨
불편감이 있으시다면
지체하지 마시고 내원하셔서
정밀한 진단을 받아보시길 바랍니다.
감사합니다~^^
*모든 증례 사진은 의료법 제23조, 제56조에 의거하여 환자분의 동의하에 업로드가 진행되었습니다.
*치료 사진은 모두 본원에서 치료한 환자분의 사진입니다.
*치료 사진은 모두 동일인의 사진이며, 동일 조건에서 촬영하였습니다.
*개인의 차이에 따라 시술 및 수술 후 부작용이 발생할 수 있으며, 의료진과 충분한 상담을 받으시기 바랍니다.