화서동치과 심미적인 개선을 위해

안녕하세요.
화서동치과
스마트한결치과입니다. 🙂
오늘은 앞니의 파절과
그로 인한 심미성 회복을 위해
크라운 치료를 진행한
환자분을 소개해 드리려고 합니다. 😊
치아는 음식물을 저작하는 기능뿐만 아니라,
웃을 때 드러나는 심미적인 역할도
크기 때문에 작은 변화에도
민감하게 느껴질 수 있어요.
특히 앞니는 말하거나 웃을 때
가장 먼저 보이는 부위라
파절이나 수복물이 변색되면
자신감에도 큰 영향을 주게 되는데요.
앞니의 절단연(치아 끝부분)은
씹는 힘이나 외부 충격에 의해
쉽게 파절될 수 있고,
손상된 부분을 레진으로 메우는
치료가 흔히 시행돼요.
하지만 시간이 지나면서
접착력이 약해지거나 색상 차이가 심해지면
미세한 틈이 생겨 불편함뿐 아니라
심미적으로도 눈에 띄게 된답니다.
이럴 때는 단순히 수복을 반복하는 것보다
전체적인 기능과 심미성을
동시에 고려한 치료가 필요할 수 있어요.
오늘은 앞니 절단연 파절과
오래된 레진 수복물의 변색으로 인해
화서동치과에서 치료를 진행한
사례를 설명드리겠습니다~😊

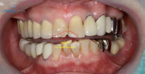
위 환자분은 앞니 파절과
기존 레진 치료 부위의 색상 차이로 인해
보기 싫다고 내원해 주셨는데요.
치아의 전반적인
형태 개선을 원하셨고,
치축 보정과 색상 향상도
함께 희망하셨어요.
확인해보니,
오른쪽 위 앞니는 일부가 파절된 상태였으며
왼쪽 위 앞니는 예전에 시행한
레진의 색상이 자연치보다
훨씬 밝아 조화가 맞지 않았어요.
또한 레진과 치아 경계 부위에
미세한 파절이 생겨 틈이 보였는데,
이런 이유들로 인해 웃을 때마다
심미적으로 큰 불편감을 느끼셨답니다.
그래서 수원치과 스마트한결치과에서는
환자분이 원하시는 심미성을
개선하기로 하였는데요.
크라운 치료를 통해
단순히 손상 부위를
보강하는 것에 그치지 않고,
치아의 전체적인 형태와 색상을
자연스럽게 맞추어 조화로운 미소를
완성하도록 계획을 수립했어요.

먼저 치아를 다듬어
크라운이 안착될 수 있도록
형태를 준비했어요.
이 과정에서 치아의 축과
교합 상태를 세밀하게 조정하여
이후 보철물이 자연스럽게
들어갈 수 있도록 했어요.
앞니는 심미적으로 가장
눈에 잘 띄는 부위이기 때문에,
치료 기간 동안 불편함이 없도록
임시치아를 먼저 제작하여 장착해 드렸으며,
임시치아의 형태를 통해 최종 보철물의
형태도 미리 확인하고 조정할 수 있었어요.
이를 통해 환자분이 원하시는
심미적 요구와 기능적 편안함을
사전에 반영하여 최종 크라운 제작 과정에
더욱 정밀하게 반영할 수 있었어요.
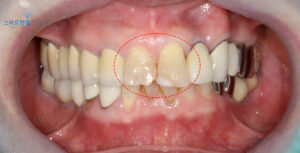
이렇게 준비된 치아는 본을 채득해
맞춤형 크라운 제작에 활용되며,
최종적으로는 환자분의 치아 색상과
조화를 이루어 심미성과 기능을
동시에 회복할 수 있게 된답니다.☺️

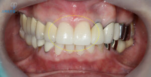
화서동치과 스마트한결의
치료 전후 사진이에요.
주변 치아와 자연스럽게 어우러지는
색상과 심미적인 형태로
회복된 모습이 보이시나요?
환자분께서는 치료 전에는
웃을 때마다 앞니가 도드라져 보여
늘 입을 가리고 웃는 경우가
많으셨는데요.
하지만 치료 후에는
앞니 색상과 형태가
자연스럽게 조화를 이루면서,
자신 있게 미소를 지으실 수 있게 되었다고
만족감을 표현해 주셨어요.^^
심미성과 기능을 동시에 회복한
이번 치료는 환자분의 생활 만족도에도
긍정적인 변화를 가져다주어
본원에서도 매우 뿌듯했답니다.😄
화서동치과 스마트한결치과에서는
구강악안면외과 진료교수 출신 및
구강악안면외과와 통합치의학과 더블보드 전문의인
박한결 대표원장님께서 풍부한 임상 경험과
체계적인 진단을 바탕으로 환자 개개인에 맞춘
진료를 진행하고 있는데요.
이를 통해 단순한 기능 회복을 넘어,
환자분의 심미적 요구까지 충족할 수 있는
맞춤형 치료를 제공하고 있어요.
치아의 심미적인 부분과
기능을 개선하고 싶으시다면
스마트한결치과에서 전문적인 상담과
진단을 통해 본인에게 적합한 방법을
확인할 수 있습니다.
감사합니다~^^
*모든 증례 사진은 의료법 제23조, 제56조에 의거하여 환자분의 동의하에 업로드가 진행되었습니다.
*치료 사진은 모두 본원에서 치료한 환자분의 사진입니다.
*치료 사진은 모두 동일인의 사진이며, 동일 조건에서 촬영하였습니다.
*개인의 차이에 따라 시술 및 수술 후 부작용이 발생할 수 있으며, 의료진과 충분한 상담을 받으시기 바랍니다.