화서동치과 아래 치아 통증이 생겼고 이상한 맛도 느껴져요

화서동치과

 

안녕하세요.
화서동치과
스마트한결치과입니다. 🙂

 

오늘은 오른쪽 아래 사랑니 발치 및 낭종적출술을
진행한 환자분을 소개해 드리려고 합니다. 😊

 

사랑니는 가장 안쪽에서 늦게 나는 치아이기 때문에
정상적으로 나오지 못하고
잇몸 속에 묻혀 있는 ‘매복 사랑니’ 형태로
발견되는 경우가 많은데요.

 

이런 매복 사랑니는 특별한
증상이 없이 지내기도 있지만,
주변에 염증이 반복되거나 물혹 형태의
낭종이 함께 생기면서
점차 크기가 커질 수 있어요.

 

특히 낭종은 초기에는 통증이 거의 없어
발견이 늦어지기 쉬우며,
시간이 지나면서 주변 뼈를 약하게 만들거나
신경을 압박해 통증, 부기,
불편감을 유발할 수 있어
주의가 필요해요.

 

이런 경우에는 단순 발치가 아니라
낭종을 함께 제거하는
수술적 치료가 필요할 수 있답니다.

 

화서동치과

 

25.03.20

<매복 사랑니 불편>

 

위 환자분께서는
아래쪽에 매복 사랑니가
존재하고 있었는데요.

 

첫 내원 당시에는 매복 사랑니 주변으로
특별한 통증이나 불편 증상이 없어
검진 후 경과 관찰하기로 하고
마무리 했어요.

 

화서동치과

 

26.04.02

<낭종 사이즈 증가>

 

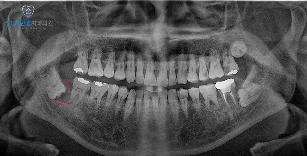
이후 1년 뒤 검진 위해
재내원 해주셨어요.

 

파노라마를 촬영해 보니,
1년전보다 사랑니 주위로
방사선 투과상이 증가하고
앞 치아의 통증과 함께
이상한 맛이 느껴진다고 하셨는데요.

 

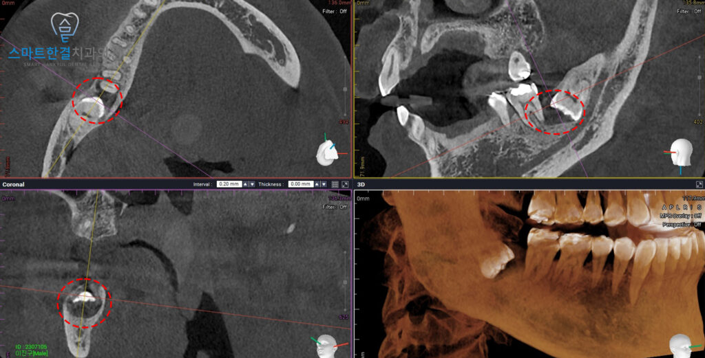
화서동치과

 

26.04.02

<CT에서도 명확히 보이는 낭종>

 

정밀한 확인을 위해
CT를 촬영해 보니,
CT 상에서도 낭종이
명확히 보이는 것을 확인할 수 있었어요.

 

또한 해당 낭종이 매복 사랑니 주변에만
국한된 것이 아니라
앞쪽 인접 치아 부위까지 영향을 줄 수 있는
위치와 크기로 관찰되어 적극적인 치료가
필요한 상태로 판단되었는데요.

 

이에 화서동치과 스마트한결에서는
함치성 낭종으로 진단하였으며,
더 증가하고 불편함이 커지기 전에
사랑니 발치와 함께 낭종적출술을 진행하기로
계획을 수립하였답니다.

 

화서동치과

 

26.04.02

<사랑니 발치 및 낭종적출술 완료>

 

사랑니 발치를 위해 잇몸을 절개한 뒤,
치아를 분할하면서 주변 조직 손상을 줄이는 방향으로
매복 사랑니를 조심스럽게 제거했어요.

 

이후 사랑니 주변에 형성되어 있던
낭종 조직도 함께 확인하여,
병변을 깨끗하게 분리한 뒤
낭종적출술을 시행했습니다.

 

발치 과정 전반에서 신경과의 위치 관계를
충분히 고려해 진행하였으며,
신경 손상 없이 안정적으로
마무리할 수 있었답니다. (^^)

 

화서동치과

 

25.03.20 / 26.04.02

 

화서동치과 스마트한결에서의
치료가 마무리 되었는데요.

 

환자분께서는 발치 하루 뒤
아직 뻐근하게 불편감은 있지만
통증은 많이 감소하셨다 해주셨으며,
이후 한번 더 체크했을 때
특별한 이상 없이 괜찮으시다며
만족해 주셨어요.

 

이처럼 매복 사랑니 주변에 생긴 낭종은
초기에는 특별한 증상이 없어
발견이 늦어지는 경우가 많지만,
시간이 지나면서 크기가 점차 커지고
주변 치아나 턱뼈, 신경 등에
영향을 줄 수 있어 주의가 필요해요.

 

화서동치과

 

화서동치과 스마트한결에서는
매복 사랑니의 위치와 낭종의 범위를
정밀하게 확인하기 위해 정밀 검사를
바탕으로 치료 계획을 세우고 있어요.

 

또한 구강악안면외과 전문의인
박한결 대표원장님께서
풍부한 임상경험을 바탕으로
고난도 사랑니 발치를 진행하고 있는데요.

 

위 사례와 같이
매복 사랑니 주변의 낭종으로 인해
불편함이 생기기 전,
스마트한결에서의 정기검진으로
빠른 대처를 받아보시길 바래요!

 

감사합니다~^^

 

*모든 증례 사진은 의료법 제23조, 제56조에 의거하여 환자분의 동의하에 업로드가 진행되었습니다.
*치료 사진은 모두 본원에서 치료한 환자분의 사진입니다.
*치료 사진은 모두 동일인의 사진이며, 동일 조건에서 촬영하였습니다.
*개인의 차이에 따라 시술 및 수술 후 부작용이 발생할 수 있으며, 의료진과 충분한 상담을 받으시기 바랍니다.

 


 

문의 전화

031-342-2828

네이버 예약

네이버 예약