화서동치과 오른쪽 아래 잇몸이 계속 부어요

안녕하세요.
화서동치과
스마트한결치과입니다. 🙂
화서동치과
오늘은 오른쪽 아래 신경치료 및 크라운을
진행한 환자분을 소개해 드리려고 합니다. 😊
잇몸의 염증과 부기는
다양한 원인에 의해 발생할 수 있으며,
적절한 치료가 이루어지지 않으면
치아와 잇몸 건강에 심각한 영향을
미칠 수 있어요.
초기에는 염증을 완화하기 위한
절개나 배농 등의 방법으로
치료가 이루어질 수 있지만,
이러한 방법만으로는
증상이 완전히 해결되지 않거나
재발할 수 있는데요.
이럴 경우,
신경치료와 같은
추가적인 치료가 필요하며,
최종적으로는 크라운을 통해
치아의 기능과 미관을 회복하는
과정이 중요해진답니다.
이러한 치료 과정은 잇몸 건강을 되찾고,
향후 발생할 수 있는 문제들을
예방하기 위한
중요한 단계로 이해될 수 있어요.

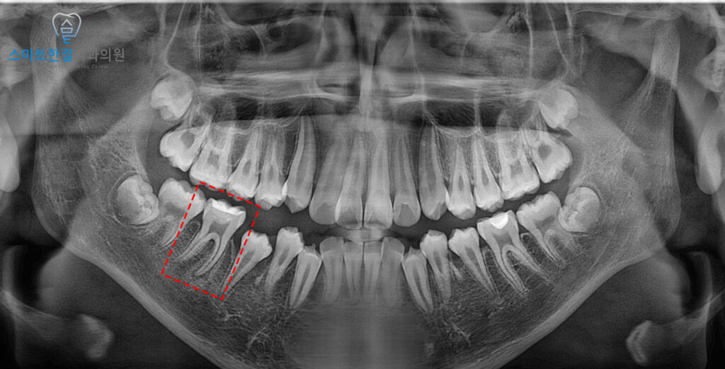
25.02
위 환자분께서는 14세 남아로,
오른쪽 아래 안쪽 잇몸에 부기가 발생하여
본원에 내원해 주셨는데요.
환자 보호자분께서는
예전에 다른 병원에서 해당 치아의
충치를 제거하는 과정 중 신경이 노출되어,
노출된 신경 위에 보호제를 덮어
자극을 방지하는 치료를 받았다고 하셨어요.
그 이후 비가역성 치수염으로
발전한 것으로 추정되었는데요.
본원에서는 처음 내원 시,
절개 및 배농을 시행하여
염증을 제거한 후
증상이 해소되었어요.

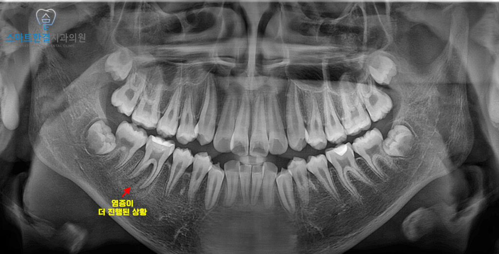
25.07
치료 이후 5개월 뒤,
환자분께서 다시 내원하셔서
잇몸 부기가 재발한 것 같다고
말씀하셨어요.
이를 확인하기 위해
정밀 검사를 진행한 결과,
치근분지부 쪽으로 방사선 투과상이
더 진행된 것을 확인할 수 있었는데요.
즉, 염증이 여전히 치아와
주변 조직으로 확산되어 있었고,
추가적인 치료가 필요한 상태였어요.

25.07
정밀한 엑스레이 사진을 촬영해본 결과,
염증이 뚜렷하게 나타났으며
치아 뿌리 주변으로 염증이 확산된 상태임을
확인할 수 있었어요.
치수생활력이 상실되어 있어,
치아의 뿌리가 제대로 성장하지
못했을 가능성이 있었는데요.
이에 화서동치과 스마트한결에서는
신경치료를 위해 신경이 있는 공간을 열어
상태를 확인해보기로 하였답니다!

25.08
앞서 설명드렸던,
뿌리가 성장이 되어있지 않았을 가능성을
염두에 두고 치료를 진행하였는데요.
확인해 보니,
뿌리 끝 폐쇄가 이루어져 있어
통상적인 신경치료를 진행하여
마무리할 수 있었어요.
신경치료 시에는
감염된 부위를 철저히 소독하고,
신경을 제거한 후 빈 공간을 깨끗하게 청소하여
감염이 다시 발생하지 않도록 하였으며
치료가 끝난 후 치아 내부를 밀봉하여
추가적인 문제를 예방할 수 있도록 했어요.

26.02.12
이렇게 신경치료가 끝난 후,
6개월 뒤 정기검진 차 내원하셨을 때
염증의 재발 없이 치아가 깨끗하게
회복된 것을 확인할 수 있었어요.
치료 후 상태가 안정적으로 유지되어,
치아와 잇몸 건강이 잘 회복된 모습을 보였답니다.^^

25.02 / 26.02
화서동치과 스마트한결치과의
신경치료 전후 사진이에요.
환자분께서는 재발되던 염증이
본원에서의 치료 이후
다시는 재발하지 않았고,
통증도 없어서 매우 만족해 주셨는데요.
이처럼 어린 나이라도
영구치의 뿌리 끝이 닫혀 있다면,
신경치료를 통해
치아의 건강을 회복할 수 있어요.
적절한 시점에 치료를 받으면,
치아를 보존하고 정상적인 기능을
유지할 수 있답니다.

화서동치과 스마트한결치과는
환자분들의 소중한 치아를
스마트하게 한결같이 지켜주는 곳으로,
과잉 진료 없이 자연치아 보존을 위해
끊임없이 노력하고 있어요.
환자 개개인의 상황에 맞춘
맞춤형 치료를 제공하며,
치아 건강을 최우선으로 생각하고 있답니다.
위 사례와 같이
내 아이의 잇몸이 지속적으로 붓고
염증이 재발하는 경우,
스마트한결에서 정밀한 진단을 통해
해결해 보시길 바래요!
감사합니다~^^
*모든 증례 사진은 의료법 제23조, 제56조에 의거하여 환자분의 동의하에 업로드가 진행되었습니다.
*치료 사진은 모두 본원에서 치료한 환자분의 사진입니다.
*치료 사진은 모두 동일인의 사진이며, 동일 조건에서 촬영하였습니다.
*개인의 차이에 따라 시술 및 수술 후 부작용이 발생할 수 있으며, 의료진과 충분한 상담을 받으시기 바랍니다.