화서동치과 왼쪽 위 치아가 통증이 심해요

안녕하세요.
화서동치과
스마트한결치과입니다. 🙂
오늘은 왼쪽 위 신경치료 및 크라운을
진행한 환자분을 소개해 드리려고 합니다. 😊
치아의 건강은 단순히
미적인 부분에만 국한되지 않고,
신체 전체적인 건강과도
밀접한 관계를 맺고 있어요.
특히 치아 뿌리 주변의 골조직은
치아의 안정성과 기능에
중요한 역할을 해요.
그러나 다양한 원인으로 인해
골조직이 파괴되면,
치아의 흔들림이나 통증이 발생할 수 있으며,
이는 치아를 상실할 위험을 높이는데요.
이러한 상황에서 신경치료와 같은
적절한 치과적 처치는
중요한 회복의 열쇠가 될 수 있어요.

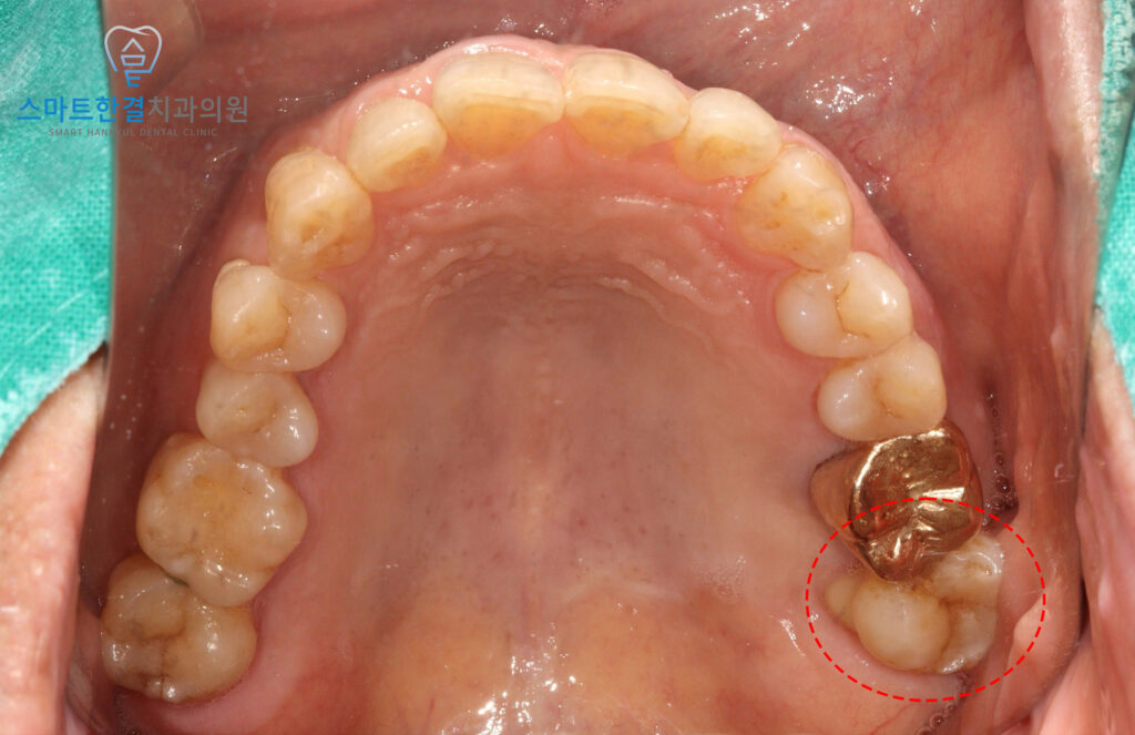
25.09
위 환자분께서는 60대 남성분으로,
왼쪽 위 치아의 극심한 통증으로 인해
본원에 내원해 주셨어요.
확인해 보니,
동요도 3도 정도로
심한 흔들림을 보였는데요.
정밀한 확인을 위해
엑스레이 사진을 촬영해 보기로 했어요.

25.09
파노라마와 CT 상에서 치아 뿌리 주변으로
심한 골 파괴 양상이 보였으며,
이는 치아를 지탱하는 뼈가 크게
손상된 상태임을 시사했습니다.
이러한 골 파괴는 치아의 안정성을 위협하는데요.
화서동치과 스마트한결에서는
자연 치아를 살리는 방향으로
먼저 진단을 진행하고 있어요.
이 원칙에 따라,
신경치료를 통해
치아를 보존할 수 있는 방법을
우선적으로 제시했는데요.
하지만 치료 과정에서
발치가 불가피할 수도 있음을 설명드렸고,
치아 보존이 어려운 경우에는
발치 후 임플란트나 다른 치료 방법을
고려해야 할 수도 있음을
안내드렸답니다.

26.01
먼저 신경치료를 진행하여
내부 감염 부위를 소독하고 세척한 후,
근관 충전을 통해 치아 내부를
완전히 밀봉하여 감염이
재발하지 않도록 했어요.
근관 충전은 신경치료의 중요한 단계로,
치아 내부의 빈 공간을 적절히 채워
외부로부터의 추가 감염을 막고,
치아의 구조적 안정성을
유지하는 데 도움을 주는데요.
통증이 완화된 후,
치아의 기능을 회복하기 위한
보철 작업을 시작하였고
이는 치료의 마지막 단계로,
치아의 외형과 기능을 회복하는
중요한 과정이었어요.

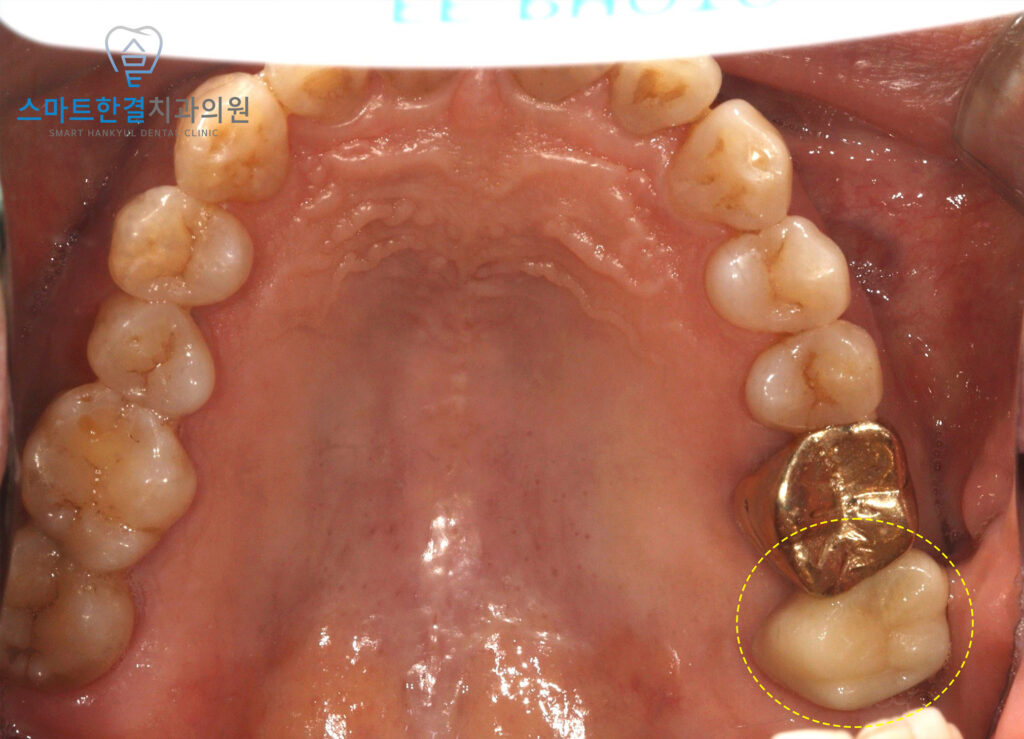
26.01
CT를 촬영하여 확인해 보았을 때도,
치아 뿌리 주변으로 치조골이
깨끗하게 회복되었으며
치아의 흔들림과 통증도 완전히 사라지셨답니다.
치료 과정은 성공적으로 마무리되었으며,
자연 치아를 보존할 수 있는
좋은 결과를 얻을 수 있었어요. (^^)

25.09 / 26.01
화서동치과 스마트한결치과의
신경치료 전후 사진이에요.
환자분께서는 극심했던 통증이 사라져
편안해 하셨으며,
치아를 살릴 수 있다는 점에서도
매우 만족해 주셨는데요.
이처럼 신경치료는
치아의 생명력을 회복시키는
중요한 치료 방법이에요.
초기 상태에서 치아의 감염과
손상이 심각하더라도,
신경치료를 통해 치아 내부의
감염을 제거하고
안정화시킬 수 있어요.

화서동치과 스마트한결치과는
환자분들의 소중한 치아를
스마트하게 한결같이 지켜주는 곳이에요.
자연치아를 살리는 치료를 최우선으로 하여,
신경치료와 같은 고난이도 치료를 통해
치아를 보존하는 데 힘쓰고 있어요.
또한 구강악안면외과 및
통합치의학과 더블보드 전문의인
박한결 대표원장님께서
처음부터 이후 관리까지 책임지고
진료를 진행 하고 있는데요.
위 사례와 같이 치아 뿌리 끝 염증으로
극심한 통증을 겪고 계신다면
화서동치과 스마트한결에서
정밀한 진단을 받아보시는게 어떨까요~?
감사합니다~^^
*모든 증례 사진은 의료법 제23조, 제56조에 의거하여 환자분의 동의하에 업로드가 진행되었습니다.
*치료 사진은 모두 본원에서 치료한 환자분의 사진입니다.
*치료 사진은 모두 동일인의 사진이며, 동일 조건에서 촬영하였습니다.
*개인의 차이에 따라 시술 및 수술 후 부작용이 발생할 수 있으며, 의료진과 충분한 상담을 받으시기 바랍니다.