화서동치과, 위쪽 사랑니 검진하러 왔어요

화서동치과

 

안녕하세요.
화서동치과
스마트한결치과입니다. 🙂

 

오늘은 왼쪽 위 사랑니 발치 및 낭종적출술을
진행한 환자분을 소개해 드리려고 합니다. 😊

 

위쪽 사랑니 주변에 발생하는 낭종은 비교적 드물지만
초기에는 특별한 자각 증상이 거의 없어
발견이 늦어지는 경우가 많아요.

 

특히 매복 사랑니와 연관된 낭종은
시간이 지나면서 서서히 크기가 증가할 수 있으며,
인접 치아나 상악동 등 주변 구조물에
영향을 줄 가능성이 있어
정기적인 경과 관찰이 중요한데요.

 

일반적으로 초기에는 방사선 검사에서
우연히 발견되는 경우가 많고,
크기가 작다면 일정 기간 추적 관찰을
시행하기도 해요.

 

그러나 낭종이 점차 확대되는
양상을 보일 경우에는
감염, 치근 흡수, 골 소실 등의 합병증을 예방하기 위해
사랑니 발치와 함께 낭종 적출술을 고려하게 된답니다.

 

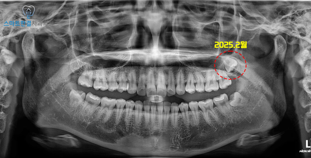
화서동치과

 

2025.2월

<위쪽 사랑니 낭종 발견>

 

위 환자분께서는 정기검진을 위해
본원에 내원해 주셨어요.

 

정밀한 검진을 위해
파노라마를 촬영해 보았는데요.

 

왼쪽 위 매복 사랑니가 관찰되었고,
사랑니 주변으로 비교적 경계가 뚜렷한
낭종성 병소가 함께 확인되었어요.

 

당시에는 자각 증상이 없고
낭종의 크기도 크지 않은 상태였기 때문에,
즉각적인 수술적 처치보다는
정기적인 경과 관찰을
우선적으로 시행하기로 하였답니다.

 

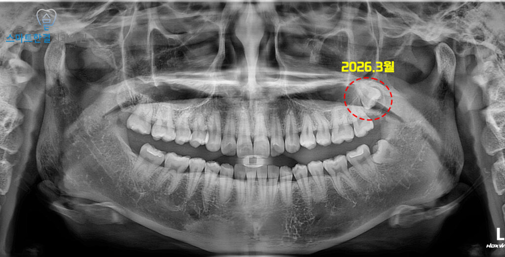
화서동치과

 

2026.3월

<위쪽 사랑니 낭종 크기 커진 양상>

 

이후 일 년 뒤 정기검진 위해 재내원하셨는데요.

 

파노라마를 촬영하여 확인해 보니,
왼쪽 위 사랑니 주변의 낭종이
일 년 전 보다 더 커진 것을 확인할 수 있었어요.

 

정밀한 확인을 위해 CT도 촬영하여
비교해 보기로 했어요.

 

화서동치과 화서동치과

 

2025.2월 / 2026.3월

<CT 촬영 후 비교 진단>

 

CT를 촬영하여 확인해 보니,
일 년전과 비교하여
낭종이 확실히 커진 모습을 볼 수 있었어요.

 

이러한 낭종은 초기에는
별다른 증상이 없는 경우가 많지만,
시간이 지나면서 점차 크기가 커질 경우
주변 치조골을 약화시키거나
인접 치아의 치근 흡수,
상악동과의 연관 문제 등을 유발할 수 있는데요.

 

그래서 화서동치과 스마트한결에서는
매복된 사랑니 발치와 함께
낭종 적출술을 동시에 시행하는 방향으로
치료 계획을 수립하였답니다.(^^)

 

화서동치과

 

2026.3월

<사랑니 발치 및 낭종 적출>

 

매복 사랑니 발치를 위해 잇몸을 절개한 후,
주변 치조골을 일부 삭제하여
사랑니가 보이도록 접근했어요.

 

위쪽 사랑니의 경우 아래 사랑니와 달리
치아 분할 없이도 비교적 원활하게
발치가 가능한 경우가 많아,
해당 환자분 또한 치아 분할 과정 없이
안정적으로 발치를 진행했답니다.

 

사랑니 뿌리에 낭종이 함께 딸려나온 것을
확인할 수 있었으며,
이는 낭종이 해당 매복 사랑니와
직접적으로 연관되어 형성된 병소였음을
보여주는 소견이었어요.

 

화서동치과

 

2025.2월 / 2026.3월

 

화서동치과 스마트한결에서의
치료가 마무리 되었는데요.

 

환자분께서는 미처 몰랐던
사랑니의 낭종을 정기검진을 통해 확인하고
대처할 수 있어서 다행이라며
좋아해 주셨는데요.

 

정기검진이 얼마나 중요한지
깨달으셨다고도 해주셨어요. (^^)

 

화서동치과

 

화서동치과 스마트한결치과는
구강악안면외과 및 통합치의학과 더블보드 전문의인
박한결 대표원장님께서 책임지고 진료를 하고 있습니다.

 

먼 대학병원까지 갈 필요 없이
고난도의 사랑니 발치도 스마트한결에서
가능하다는 장점이 있습니다.

 

또한 낮 시간 내원이 어려운 분들을 위해
화요일 야간진료를 통해
직장인이나 학생분들도 부담 없이 내원하실 수 있도록
진료 환경을 마련하고 있습니다.

 

위 사례와 같이 사랑니 발치가 걱정되거나
정기검진 중 이상 소견을 안내받으셨다면,
보다 편안하고 체계적인 진료 환경에서
상담을 받아보시길 바랍니다.

 

감사합니다~^^

 

*모든 증례 사진은 의료법 제23조, 제56조에 의거하여 환자분의 동의하에 업로드가 진행되었습니다.
*치료 사진은 모두 본원에서 치료한 환자분의 사진입니다.
*치료 사진은 모두 동일인의 사진이며, 동일 조건에서 촬영하였습니다.
*개인의 차이에 따라 시술 및 수술 후 부작용이 발생할 수 있으며, 의료진과 충분한 상담을 받으시기 바랍니다.

 


문의 전화

031-342-2828

네이버 예약

네이버 예약