화서동치과 치아가 부러져서 치료해야 할 것 같아요

화서동치과

 

안녕하세요.
화서동치과
스마트한결치과입니다.😊

 

오늘은 상악동거상술을 동반한 임플란트를
진행한 환자분을
소개해 드리려고 합니다!

 

신경치료를 받은 치아는
통증이 사라져 일상생활에는 큰 불편이 없지만,
시간이 지나면서 치아 구조가 약해져
파절 위험이 높아질 수 있어요.

 

특히 어금니 부위는 씹는 힘을
많이 받기 때문에
치아가 갑자기 부러지거나,
잇몸 속에 뿌리만 남는 경우도
적지 않는데요.

 

이처럼 치아가 심하게 파절되어
보존이 어려운 경우에는
발치가 필요하며,
이후 기능과 심미를 회복하기 위해
임플란트 치료를 고려하게 돼요.

 

하지만 위쪽 어금니 부위는
해부학적으로 상악동과 가까워,
치아를 발치한 뒤 뼈의 높이가
충분하지 않은 경우가 많아요.

 

이럴 때는 안정적인 임플란트 식립을 위해
상악동거상술을 병행하여
부족한 잇몸뼈를 보강한 후
임플란트를 식립하는
치료 계획이 필요할 수 있어요.

 

오늘은 화서동치과 스마트한결에서
상악동거상술과 임플란트를 진행한
사례를 설명해 드리도록 하겠습니다!

 

화서동치과

 

25.12.19

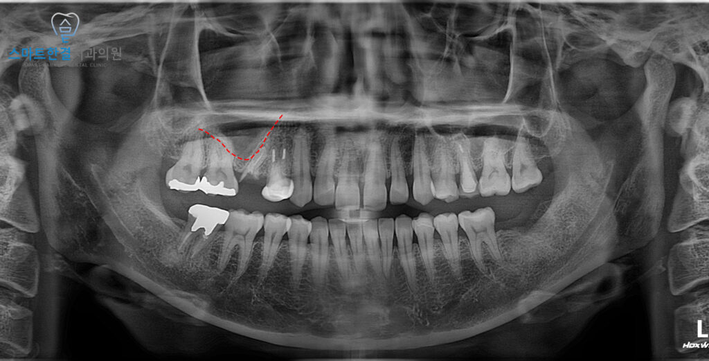
위 환자분께서는
오른쪽 위 신경치료를 받았었던 치아가
부러져 불편함을 느끼고
본원에 내원해 주셨는데요.

 

확인해 보니,
치아의 머리 부분만 부러져
잇몸 안에 뿌리만 남아 있는 상태였으며,
파절 범위가 깊어 치아를
보존하기 어려운 상황이었어요.

 

화서동치과

 

25.12.19

그래서 남아 있는 잔존 뿌리를 발치한 후
임플란트를 식립하면
치아의 기능적인 회복은 가능했는데요.

 

하지만 한 가지 문제점이 있었습니다.
해당 부위는 상악동이 많이 내려와 있는 상태였고,
상악동의 영향으로 기존 치아의
뿌리 또한 옆으로 휘어 있는
형태를 보이고 있었어요.

 

이로 인해 발치 후 임플란트를 바로 식립하기에는
잇몸뼈의 높이가 충분하지 않아
안정적인 고정을 기대하기
어려운 상황이었는데요.

 

그래서 화서동치과 스마트한결에서는
치아를 발치 후 경사면을
이용한 상악동거상술을 통해
부족한 잇몸뼈 공간을 확보한 뒤,
임플란트를 식립하는 치료 계획을 수립했답니다!

 

화서동치과

 

먼저 남아 있는 치아를 발치한 후,
치조정으로 접근하여
상악동거상술을 시행하였으며,
상악동 막을 조심스럽게 거상해
임플란트 식립에 필요한
잇몸뼈 공간을 확보했어요.

 

이후 부족한 부위에 뼈이식을 시행하여
임플란트가 안정적으로
고정될 수 있는 기반을 마련하였고,
이를 바탕으로 임플란트 식립을
진행했어요.

 

화서동치과

 

이렇게 임플란트 식립이
마무리 되었답니다!

 

상악동거상술을 동반하여 식립을 하게되면
수술 후 주의사항을
더욱 꼼꼼하게 지켜주는 것이 중요한데요.

 

상악동은 코와 연결된 공간이기 때문에
수술 후 관리가 소홀할 경우
불편감이나 합병증으로 이어질 수 있어
세심한 관리가 필요해요.

 

그래서 화서동치과 스마트한결에서는
환자분께 맞춤 주의사항을 상세히 안내드렸으며
회복 과정 동안 불편함 없이 지내실 수 있도록 했어요.

 

환자분께서도 안내드린 주의사항을
잘 지켜주셔서 문제 없이
임플란트가 잘 치유되고 있답니다. (^^)

 

화서동치과

 

25.12.19

화서동치과 스마트한결치과의
임플란트 수술 전후 사진이에요.

 

환자분께서는 임플란트 식립뿐만 아니라
상악동거상술까지 진행해야 돼서
무섭고 불안해하셨으나,
수술하면서도 불편함 없으시고
이후에도 괜찮으셔서 다행이라며
만족해 주셨어요.

 

주의사항을 자세히 설명 듣고 잘 이행해주시고
이후에도 관리를 꾸준히 하시려고 하는 덕분에
현재까지 임플란트와 상악동 부위 모두
안정적인 상태를 유지할 수 있었답니다.

 

화서동치과

 

화서동치과 스마트한결은
이처럼 임플란트 식립부터 상악동거상술,
그리고 수술 후 관리까지
전 과정을 체계적으로 진행하여
환자분들이 보다 안심하고
치료를 받으실 수 있도록 돕고 있어요.

 

또한 대학병원 구강악안면외과 진료교수 출신이며
구강악안면외과+통합치의학과 더블보드 전문의인
박한결 대표원장님께서
개개인의 구강 상태를 고려한 맞춤 치료 계획과
세심한 관리를 책임지고 있어요.

 

위 사례처럼 치아의 부러짐으로 인해
기능적인 회복을 원하신다면
스마트한결치과에서 정밀 진단을
받아보시는게 어떨까요?😊

 

감사합니다~^^

 

*모든 증례 사진은 의료법 제23조, 제56조에 의거하여 환자분의 동의하에 업로드가 진행되었습니다.
*치료 사진은 모두 본원에서 치료한 환자분의 사진입니다.
*치료 사진은 모두 동일인의 사진이며, 동일 조건에서 촬영하였습니다.
*개인의 차이에 따라 시술 및 수술 후 부작용이 발생할 수 있으며, 의료진과 충분한 상담을 받으시기 바랍니다.

 


 

문의 전화

031-342-2828

네이버 예약

네이버 예약