화서동치과 치아가 흔들리고 잇몸이 안 좋아요

안녕하세요.
화서동치과
스마트한결치과입니다.😊
오늘은 심한 치주염으로 인해
발치 및 뼈이식 임플란트를 진행한
환자분을 소개해 드리려고 합니다!
치주염은 치아와 잇몸을 지탱하는
뼈와 조직에 염증을 일으켜,
시간이 지남에 따라
치아를 지탱할 수 없게
만드는 질환이에요.
초기에는 증상이 미미하게 나타나지만,
치료를 받지 않고 방치할 경우
염증이 악화되어 치아를
흔들리게 만들고,
결국 치아를 상실하게 될 수 있는데요.
특히 심한 치주염은
치아를 지탱하는 뼈가 소실되어
임플란트나 뼈이식 같은
치료가 필요한 경우가 많아요.
오늘은 화서동치과 스마트한결에서
치주염 치아 발치 후 뼈이식임플란트를
진행한 사례를 설명해 드리도록 하겠습니다~😊

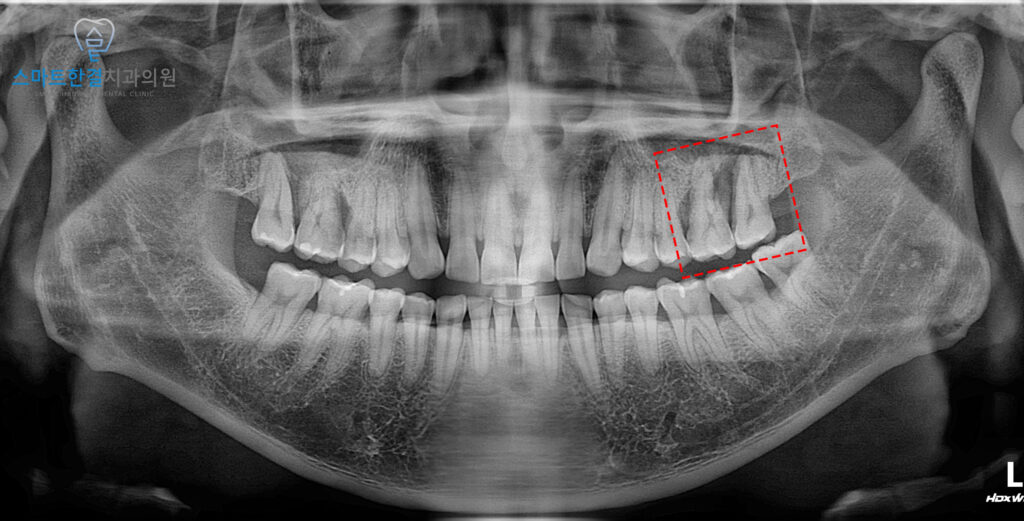
위 환자분께서는
왼쪽 위 치아의 흔들림과
불편함으로 인해
본원에 내원해 주셨어요.
왼쪽 위 큰 어금니 두 개에서
치주염이 발생한 것이
확인되었어요.
치주염은 치아와 잇몸을
지탱하는 뼈에 염증을 일으켜,
치아가 흔들리거나 심한 통증을
유발할 수 있는 상태예요.
치주염으로 인해 골 소실이
빠르게 진행되어,
치아가 흔들리고 그로 인해
통증이 생긴 것으로 보였어요.
그래서 화서동치과 스마트한결에서는
해당 치아들을 발치 하고
임플란트를 식립하기로
계획을 수립했답니다!

먼저 발치를 진행했어요.
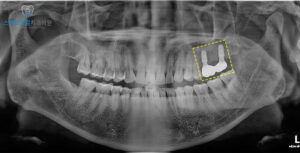
이후 임플란트 식립 전,
정밀한 확인을 위해
CT를 촬영했는데요.
촬영 결과,
수직적, 입 천장쪽으로
골 소실이 심각하게 진행된
상태로 확인되었어요.
임플란트만 식립하기에는
뼈의 지지력이 부족해,
추가적인 뼈이식이 필요함을
알 수 있었어요.
이를 해결하기 위해
뼈이식 절차를 먼저 진행하고,
그 후에 임플란트를
식립할 계획을 세웠어요.

임플란트를 식립하면서
뼈가 부족한 부위에
뼈이식을 진행했어요.
이를 통해 부족한 뼈를 보충하고,
임플란트가 안정적으로
식립될 수 있도록
기초를 마련했답니다.
뼈이식은 시간이 지나면서
자연스럽게 환자의 뼈와 결합되어,
임플란트가 견고하게 자리를 잡을 수 있도록
돕는 중요한 과정이에요.

환자분께서는 치주염으로 인해
치료를 하는 것이기 때문에
임플란트 후에도 염증이 발생할 가능성이 있어,
세심한 관리와 주의가 필요했어요.
이에 따라 치료 후 꼼꼼하게 관리하며
충분한 치유 기간을 거쳤는데요.
그렇게 염증 없이 잘 치유되어
보철 작업을 시작하였어요.
맞춤형 지대주와 그에 맞는
최종 보철물을 제작하여,
주변 치아와의 형태와 색상이
자연스럽게 어우러지도록 했어요.
환자분께서 치료 기간 내에
주의사항도 잘 지켜주시고
관리도 잘 해주셔서 문제 없이
마무리 할 수 있었답니다.^^

화서동치과 스마트한결의
치료 전후 사진이에요.
염증 없이 깨끗하게
임플란트가 마무리 된게 보이시나요?
환자분께서는 식사할 때마다
불편함이 있어 오른쪽으로만
식사하시던 상황이었고,
오른쪽도 문제가 생길까
걱정하셨는데요.
그러나 치료 후,
이제는 양쪽으로 골고루 씹으며
식사할 수 있게 되어
매우 만족하셨어요.
임플란트는 치료가
마무리 됐다고 해서
끝이 아니라 그 이후의
관리가 중요해요.
임플란트 주변에도
염증이 생길 수 있기 때문에,
치간칫솔과 같은 용품을 사용해
꾸준히 관리하는 것이 필요한 점을
안내드리며 마무리했답니다.😁

화서동치과 스마트한결은
임플란트가 끝난 이후에도
지속적인 관리와 점검을
중요하게 생각해요.
구강악안면외과와 통합치의학과
더블보드 전문의인 박한결 대표원장님께서
진단부터 이후 관리까지 책임지고 진행하므로,
환자분들은 임플란트 치료 후에도
신뢰할 수 있는 전문적인 관리와
상담을 받으실 수 있어요.
위 사례처럼 심한 치주염으로 인해
치아가 흔들리고 불편함이 있으시다면
화서동치과 스마트한결치과에서
정밀한 진단과 상담을
받아보시는게 어떨까요?😊
감사합니다 ~^^
*모든 증례 사진은 의료법 제23조, 제56조에 의거하여 환자분의 동의하에 업로드가 진행되었습니다.
*치료 사진은 모두 본원에서 치료한 환자분의 사진입니다.
*치료 사진은 모두 동일인의 사진이며, 동일 조건에서 촬영하였습니다.
*개인의 차이에 따라 시술 및 수술 후 부작용이 발생할 수 있으며, 의료진과 충분한 상담을 받으시기 바랍니다.
화서동치과