화서동치과 치아에 충치가 생긴 것 같아요
안녕하세요.
화서동치과
스마트한결치과입니다.😊
오늘은 착색 제거를
진행한 환자분을
소개해 드리려고 합니다!
어린이 치아에서 종종 보이는
까만 착색은 겉보기에는 충치처럼 보여
부모님들이 깜짝 놀라는
경우가 많은데요.
실제로 색이 진하게 변해 있으면
충치로 진행된 것이 아닐까 걱정하게 되지만,
이러한 착색은 대부분 치아 표면에
착물된 색소로 발생하는 것으로
충치와는 구별되는 경우가 많아요.
다만 외관상 비슷해 보이기 때문에
정밀한 진단을 위해 치과 검진이 필요하며,
비교적 간단한 시술만으로도
깨끗하게 제거할 수 있어요.
오늘은 화서동치과 스마트한결에서
치아 착색 제거를 진행한
사례를 설명해 드리도록 하겠습니다~😊

25.11.14
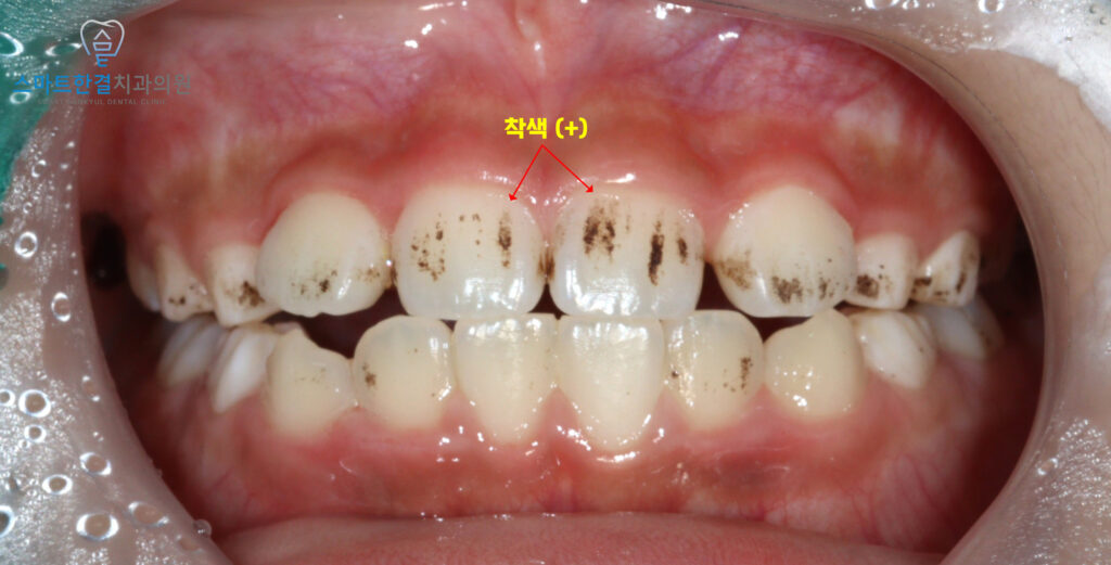
위 환자분께서는 소아 환자분으로
치아가 전체적으로 까맣게 보여
부모님께서 충치가 생긴줄 알고
급하게 내원해 주셨어요.
확인 해보니,
다행히 충치는 아니었고
치아 표면에 착색이 생긴
상황으로 확인되었어요.
소아에게 나타나는 이런 착색은
음식물 색소나 구강 내 세균 배합에 의해
생기는 경우가 많으며,
외관상 진하게 보여
충치로 오해되기 쉬워요.
하지만 치아 구조를 손상시키는
병적 변화는 아니기 때문에
전문적인 세정과 폴리싱을 통해
안정적으로 제거할 수 있어요.
그래서 화서동치과 스마트한결에서는
착색 부위를 깨끗하게 제거하기로
계획을 수립하였답니다!

25.11.14
치료 전에는 아이가 무서워하지 않도록
어떤 도구를 사용할지,
어떻게 진행되는지 차근차근 설명하며
긴장을 풀 수 있도록 도왔고
먼저 소리가 나지 않는 간단한 브러싱
과정부터 보여주어 아이가
편안함을 느낄 수 있도록 유도했어요.
이러한 준비 과정을 거친 후
착색제거를 진행해 아이도
크게 불안해하지 않고 치료를
잘 받을 수 있었어요.
이후 착색이 깨끗하게 지워진
모습을 확인할 수 있었어요!(^^)

25.11.14
화서동치과 스마트한결의
치료 전후 사진이에요.
제거 후에는 까맣게 보이던 부분이 사라지면서
아이의 치아 색이 한층 밝아지고
말끔해진 모습을
확인하실 수 있었어요.
부모님께서도 충치가 아니라서
정말 다행이고,
아이가 무서워하지 않아 좋았다고
안도하셨답니다.
마지막으로 착색이 다시 생기지 않도록
올바른 양치 습관 지도와
착색을 유발할 수 있는 식습관 관리 등의
방법을 안내해드리고 마무리 했어요.

화서동치과 스마트한결에서는
아이들이 치료 과정에서
불안해하지 않도록,
치료 전에 충분한 설명과 적응 시간을 제공하며
차분한 분위기 속에서
진료를 진행하고 있습니다.
이러한 접근 덕분에
아이가 부담을 덜 느끼고,
부모님 역시 안심하고
치료를 맡길 수 있습니다.
위 사례처럼 치아에 생긴 까만 부분이
착색인지 충치인지 헷갈리신다면
화서동치과 스마트한결에서
진단 후 깨끗한 치아를 유지하시길 바래요!
감사합니다~^^
*모든 증례 사진은 의료법 제23조, 제56조에 의거하여 환자분의 동의하에 업로드가 진행되었습니다.
*치료 사진은 모두 본원에서 치료한 환자분의 사진입니다.
*치료 사진은 모두 동일인의 사진이며, 동일 조건에서 촬영하였습니다.
*개인의 차이에 따라 시술 및 수술 후 부작용이 발생할 수 있으며, 의료진과 충분한 상담을 받으시기 바랍니다.
화서동치과