화서동치과 칫솔이 잘 안 닿아 사랑니 전부 발치하고 싶어요

화서동치과

 

안녕하세요.
화서동치과
스마트한결치과입니다. 🙂

 

오늘은 양쪽 위, 아래 사랑니 발치를
진행한 환자분을 소개해 드리려고 합니다. 😊

 

사랑니 발치는 많은 분들에게
익숙한 시술이지만,
양쪽 위아래 사랑니를 한 번에
발치하는 경우에는 그 고생이
몇 배는 더 커질 수 있는데요.

 

단순히 통증만의 문제가 아니라,
식사, 말하기, 심지어 일상생활의
사소한 움직임조차 불편함을
동반하기 때문이에요.

 

특히 위아래 양측 사랑니가
모두 난 경우는 턱의 움직임과
구강 기능에 동시에 영향을 주기 때문에
회복 기간도 상대적으로 더 길어지고
주의할 점도 많아지게 돼요.😓

 

이처럼 양쪽 위아래 사랑니를
동시에 발치한다는 건 단기간의
생활 패턴 변화까지 감수해야 하는
일이기 때문에 사전에 충분한
정보와 준비가 필요해요.

 

본원에서는 한 번에 네 곳을
모두 발치하기보다는,
좌우를 나눠 두 차례에 걸쳐
발치하는 방법을 권장 드리는데요.

 

이렇게 좌우로 나누어 발치하면
한쪽으로는 음식 섭취나
일상적인 구강 기능을
어느 정도 유지할 수 있기 때문에
회복 부담이 덜하고,
통증이나 부기도 보다 효율적으로
관리할 수 있기 때문이에요.

 

그리고 위생 관리 면에서도
훨씬 수월하며 혹시 모를
합병증의 위험도 줄일 수 있어
보다 안정적인 회복이 가능하며
특히 일상생활이나 업무에 지장을
줄이고자 하는 분들에게는
단계적인 발치가 훨씬
현실적인 선택이 될 수 있어요!

 

오늘은 화서동치과에서
양쪽 위, 아래 사랑니 발치를 한
환자분의 사례를 설명드리겠습니다~😊

 

화서동치과

 

위 환자분께서는
양쪽 위, 아래 사랑니 발치를
진행했는데요.

 

환자분께서는 평소 칫솔질을 할 때
사랑니 부분이 너무 안쪽이라
잘 안 닿아 혹여나 충치가 생기고
염증이 생길까 하는 마음에
발치를 희망하셔서 화서동치과
스마트한결에 내원해 주셨어요.

 

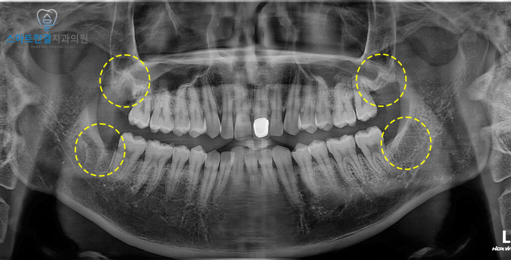
파노라마 엑스레이 사진을 통해
확인해 보니,
네 개의 사랑니 모두 비교적
정상적인 형태로 자라고 있었지만,
아래쪽 사랑니는 다른 치아와 달리
약간 턱뼈 쪽으로 기울어진 상태였어요.

 

이런 경우에는 필요시 주변 뼈를
일부 다듬는 과정이
추가될 수 있다는 점을
함께 설명드렸어요.

 

화서동치과

 

환자분께서는 한 번에 네 개의
사랑니를 모두 발치하길 원하셨지만,
회복 과정의 불편함과
부작용 가능성을 고려해
좌우를 나눠 두 차례에 걸쳐 진행하는 것이
더 안정적이라고 안내드렸어요.

 

한쪽씩 진행하면 식사나 생활에
불편함이 덜하고,
통증이나 부기 관리도 훨씬
수월하기 때문이라는 점도
추가로 말씀드렸어요!

 

환자분께서는 말씀드린
내용을 이해하시고 먼저 왼쪽부터
발치를 진행했는데요.

 

사진과 같이 주변 조직의 손상 없이
깨끗하게 발치 한 모습을 볼 수 있었어요.

 

화서동치과

 

이후 잇몸이 어느 정도 아물고 난 뒤
오른쪽까지 발치를 하였습니다^^

 

위쪽 사랑니는 상악동과 가까웠으며,
아래쪽은 신경관과 가까워
상악동 개통 또는 신경관 손상의
우려가 있었으나 화서동치과에서는
치료 전 3D CT를 촬영해 거리와 위치를
확인 후 진행하여 보다 안정적으로
발치를 할 수 있었어요.

 

화서동치과

 

발치 후 환자분께서는
양쪽을 나눠서 발치한 덕분에
부담 없이 회복할 수 있어 좋았다고
말씀해 주셨어요.

 

또한 식사나 일상생활에 큰 지장이 없었고,
통증과 부기 관리도 상대적으로
수월해 만족도가 높았다고 하셨어요.^^

 

화서동치과

 

이처럼 화서동치과 스마트한결에서는
발치 전 정밀 진단과
안정적인 계획 수립을 바탕으로,
환자분의 회복까지 고려한
세심한 치료를 진행하고 있어요.

 

국내외 다양한 학술 활동과
대학병원에서의 교수 경험,
그리고 수많은 임상 케이스를 바탕으로
박한결 대표원장님께서 직접 진료를
진행하고 계시며 정밀한 진단과 치료는 물론,
환자 개개인의 회복까지 고려한
맞춤 치료를 제공해 드리고 있어요.

 

사랑니가 관리가 안 되어 불편하거나,
궁금하신 점이 있으시다면
언제든지 내원하셔서
상담을 받아보시길 바랍니다.

 

감사합니다 ~^^

 

*모든 증례 사진은 의료법 제23조, 제56조에 의거하여 환자분의 동의하에 업로드가 진행되었습니다.
*치료 사진은 모두 본원에서 치료한 환자분의 사진입니다.
*치료 사진은 모두 동일인의 사진이며, 동일 조건에서 촬영하였습니다.
*개인의 차이에 따라 시술 및 수술 후 부작용이 발생할 수 있으며, 의료진과 충분한 상담을 받으시기 바랍니다.

화서동치과 화서동치과


문의 전화

031-342-2828

네이버 예약

네이버 예약