화서동치과 피곤할 때마다 사랑니 쪽이 붓는 것 같아요

안녕하세요.
화서동치과
스마트한결치과입니다. 🙂
오늘은 왼쪽 위, 아래 사랑니 발치를
진행한 환자분을 소개해 드리려고 합니다. 😊
사랑니는 일반 치아와는 다르게 다양하게 자라요.
사람마다 사랑니가 나는 시기와 방향,
모양이 모두 다르기 때문에
관리와 치료에도 각별한 주의가 필요한데요.
보통 17세에서 25세 사이에 나는 경우가 많고,
또한 제대로 나지 못하고 잇몸 속에 묻히거나
비스듬히 나오는 경우가 많아
주변 치아에 압박을 주거나
통증, 염증을 유발할 수 있어요.
특히 공간이 부족한 경우에는
옆으로 누워서 자라거나 부분적으로만 나와서
음식물이 끼기 쉬워 충치와
잇몸질환의 원인이 되기도 해요.
따라서 주기적으로
전문적인 검진을 통해 상태를 확인하고,
필요에 따라 조기에 치료하는 것이 중요해요.
또한 비스듬히 자란 사랑니가 맞닿는 치아를
지속적으로 눌러서 그 부위에
통증과 염증을 유발할 수 있어요.
이로 인해 맞닿은 치아가 손상되거나 충치가 생기기 쉬워지며,
심한 경우 주변 뼈 조직까지 영향을 미쳐
구강 건강에 큰 문제를 초래할 수 있답니다.
그리고 인접 치아 사이에 음식물이 잘 끼는 것도
염증과 감염의 원인이 되기 때문에
조기에 상태를 점검하고 필요한 경우
적절한 치료를 받는 것이 중요해요.
화서동치과 스마트한결에서는
다른 치아에까지 영향을 미치는지
정밀하게 진단한 후 발치한답니다.

<사랑니 불편감으로 내원>
오늘은 왼쪽 위, 아래 사랑니 발치를
진행하신 환자분을 소개해 드리려고 해요.
환자분께서는 왼쪽 아래 어금니 뒤쪽이
피곤할 때마다 붓는 느낌과
불편함을 호소하시어 내원해 주셨는데요.
몇 년간 지속된 증상으로 인해
발치를 희망하셨어요.
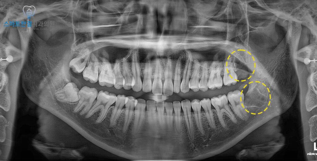
파노라마 사진에서는
왼쪽 아래 사랑니가 잇몸 안에 묻혀 있으면서
앞 치아 쪽으로 비스듬히 누워 있는
모습이 확인되었어요.
또한 육안으로 살펴보았을 때
잇몸이 약간 부어 있는 상태였어요.
잇몸 부기의 원인이 사랑니일 가능성이 높고,
비스듬히 누운 사랑니가 앞 치아에 영향을 미칠 우려가 커
왼쪽 아래 사랑니를 발치하는 동시에
위쪽 사랑니도 함께 발치하기로 결정하였답니다.

<수술적으로 사랑니 발치>
왼쪽 위, 아래 2개의
사랑니를 발치한 모습이에요.
잇몸 안으로 매복된 사랑니는
잇몸을 절개하고 치아를 분할한 후
발치하는 수술적 과정이 필요한데요.
수술 중에는 앞 치아에
영향을 주지 않도록 매우 섬세하게
발치를 진행했어요.
또한, 사랑니의 뿌리와 신경관이
파노라마 사진에서 중첩되어 확인되어,
발치 전 3D CT 촬영을 통해 정밀하게 분석한 후
안정적으로 발치를 진행하였답니다. (^^)

사랑니 발치 시 통증에 대한 걱정을 많이 하시는데,
화서동치과 스마트한결에서는
환자분의 불편함을 줄이기 위해
안정적인 마취를 시행해요.
먼저 꼼꼼한 마취 과정을 거쳐
통증이 완전히 차단되었는지
세심하게 확인한 후에 발치를 진행하여,
발치 중 통증 없이 편안한 치료가 가능하도록 한답니다.

사랑니는 개인마다 자라는 위치와
매복 정도가 다양하기 때문에,
상태 확인을 위해 꼭 치과에 방문하시는 것이 좋아요.
사랑니 발치를 전문으로 하는
화서동치과 스마트한결은
대학병원 구강악안면외과 진료교수 출신이자
더블보드 전문의인 박한결 대표원장님께서
직접 책임지고 진료하고 있는데요.
사랑니로 인해 불편감이 있으시다면
언제든지 스마트한결치과에 방문하셔서
상담받아보시길 추천드립니다.
감사합니다 ~^^
*모든 증례 사진은 의료법 제23조, 제56조에 의거하여 환자분의 동의하에 업로드가 진행되었습니다.
*치료 사진은 모두 본원에서 치료한 환자분의 사진입니다.
*치료 사진은 모두 동일인의 사진이며, 동일 조건에서 촬영하였습니다.
*개인의 차이에 따라 시술 및 수술 후 부작용이 발생할 수 있으며, 의료진과 충분한 상담을 받으시기 바랍니다.