수원치과 아래 브릿지가 끊어졌어요

안녕하세요.
수원치과
스마트한결치과입니다.😊
오늘은 전체 임플란트를
진행한 환자분을
소개해 드리려고 합니다!
치아는 한두 개의 문제로 끝나는 경우보다,
기존 보철물의 노후나 구조적 한계로 인해
전체적인 구강 기능에 영향을 주는
경우가 적지 않은데요.
특히 브릿지 치료를 오래 유지해온 경우,
지지 치아에 과도한 힘이 집중되면서
파절이나 탈락이 발생할 수 있고
이로 인해 저작 불편·통증·염증으로 이어지는
사례도 흔히 볼 수 있어요.
이러한 상황에서는 단순한 부분 수복보다
현재 구강 상태를 종합적으로 평가해,
장기적인 안정성과 기능 회복을
목표로 한 치료 계획이 필요해요.
오늘은 수원치과 스마트한결에서
전체 치아 발치 후 임플란트를 진행한
사례를 설명해 드리도록 하겠습니다!

24.04
위 환자분께서는
아래쪽 잔존 브릿지가 끊어져
불편함으로 인해
수원치과 스마트한결에 내원해 주셨는데요.
확인해 보니, 브릿지가 끊어지면서
남아 있는 잔존 지대치 역시
오래된 보철 하중을 견디지 못해
구조적으로 많이 약해진 상태였고,
일부는 치아 균열과 염증 소견까지
동반하고 있었어요.
이로 인해 정상적인 저작이
어려웠을 뿐 아니라,
추가적인 파절이 발생할 가능성도
높은 상황이었는데요.
위쪽도 상태가 안좋았지만
우선은 그대로 쓰면서 유지하고
아래쪽은 전체 발치 후 임플란트를 식립하기로
계획을 수립했어요!

먼저 아래쪽 치아 발치 후
임플란트 식립을 진행했어요.
상실된 어금니 부위까지
빠짐없이 식립 해 저작력을
고르게 분산할 수 있도록 계획했으며,
단순히 치아 개수만 채우는 것이 아니라
교합 균형과 향후 보철의 안정성까지 고려해
위치와 각도를 세심하게 조정했어요.
식립 후에는 충분한 치유 기간을 거치며
임플란트가 잇몸뼈와 안정적으로
결합될 수 있도록 관리했는데요.
이 과정에서 정기적인 경과 관찰을 통해
염증이나 흔들림 여부를 꼼꼼히 확인했고,
잇몸 상태와 전반적인 구강 위생 관리도
함께 지도해 드렸답니다.
이후 임플란트가 특별한 이상 없이 잘 치유되어
맞춤형 지대주와 최종 보철 제작 후
형태와 색상, 교합 조화를 세심하게 확인한 뒤
영구접착해 드렸어요(^^)

이후 처음부터 안 좋았던 위 치아들도
치료를 희망하셔서
정밀 진단과 상담을 거쳐
전체 발치 후 임플란트 치료를
진행하기로 결정했어요.

위 임플란트 역시 식립 후
동일하게 충분한 치유 기간을 거치며,
임플란트가 잇몸뼈와 안정적으로
결합되는 과정을 지켜보았어요.
이 기간 동안 정기적인 내원과
경과 관찰을 통해
잇몸 상태와 고정력을 확인하며,
이후 보철 단계로 안정적으로
넘어갈 수 있도록 관리 했어요.

아래 보철에 맞춰 위쪽 역시
형태와 교합을 세심하게 조정하여 제작하였으며,
위,아래가 조화롭게 맞물리도록
교합 균형을 중점적으로 확인했어요.
이를 통해 씹을 때의 불편함을 줄이고,
전체 임플란트를 보다 안정적으로
오래 사용하실 수 있도록 마무리했어요.^^

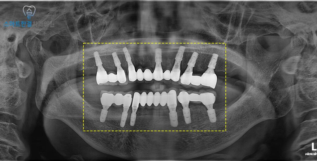
수원치과 스마트한결치과의
전체 임플란트 전후 사진이에요.
환자분께서는 전체 임플란트를 받아보신 후
진작에 치료할걸 그랬다며
이전과 비교해 훨씬 편해졌고
식사할 때도 불편함이 거의 없다고
만족감을 표현해 주셨어요.
이렇게 치료 마무리 후
수원치과 스마트한결에서는
환자분께 전체 임플란트 치료를 받으신 만큼
관리의 중요성을 충분히 안내해 드렸는데요.
임플란트는 자연치아와 달리
충치는 생기지 않지만,
관리가 소홀할 경우 주위염 등으로
문제가 발생할 수 있기 때문에
정기적인 검진과 스케일링,
올바른 구강 위생 관리가 무엇보다
중요하다는 점을 강조했어요.

수원치과 스마트한결치과는
국내외 다양한 학술 활동과 대학병원 교수 생활,
로컬 봉직의 경험을 통해 쌓아온
구강악안면외과 전문의 박한결 대표원장님의
풍부한 임상 노하우를 바탕으로
고난이도 임플란트 수술까지
체계적으로 진행하고 있어요.
개개인의 구강 상태와
잇몸뼈 조건을 정밀하게 분석해
안전성과 예후를 함께 고려한 치료를 제공하고 있으며,
처음 진단부터 수술, 보철, 관리까지
책임 진료를 원칙으로 하고 있어요.
위 사례처럼 전체적인 임플란트가 필요한 경우
실력 좋은 전문의가 있는 수원치과 스마트한결에서
정밀한 진단을 받아보시는게 어떨까요?
감사합니다~^^
*모든 증례 사진은 의료법 제23조, 제56조에 의거하여 환자분의 동의하에 업로드가 진행되었습니다.
*치료 사진은 모두 본원에서 치료한 환자분의 사진입니다.
*치료 사진은 모두 동일인의 사진이며, 동일 조건에서 촬영하였습니다.
*개인의 차이에 따라 시술 및 수술 후 부작용이 발생할 수 있으며, 의료진과 충분한 상담을 받으시기 바랍니다.