팔달구치과 사랑니 쪽으로 음식이 잘 끼고 자주 부어요

안녕하세요.
팔달구치과
스마트한결치과입니다. 🙂
오늘은 양쪽 아래 사랑니 발치를
진행한 환자분을 소개해 드리려고 합니다. 😊
사랑니는 다른 치아와 다르게
턱뼈 가장 안쪽에서 가장 마지막에 맹출하고
공간이 부족한 상태에서
자라는 경우가 많은데요.
그로 인해 곧게 나지 못하고
옆으로 누워 자라 주변 치아나
잇몸에 문제를 유발할 수 있어요.
특히 수평으로 매복되면 뿌리까지
휘어져 있는 경우도 있어
발치가 쉽지 않고 신경과 가깝게 위치한 경우
신중한 접근이 필요해요.
뿌리가 휘어져있는 사랑니는
일반적인 사랑니보다 훨씬 더 복잡하고
정교한 시술이 필요한데요.
특히 수평으로 누워 있으면서
심하게 휘어져 있는 경우,
발치 도중 뿌리가 부러질 수 있는
위험이 있어 주의가 필요합니다.
이처럼 치아 뿌리가 휘어진 사랑니는
한 번에 뽑지 않고
치아 머리와 뿌리를 나누어 분리하거나,
뼈를 조금씩 제거하며 진행해야 하는
경우가 많은데요.
또한, 주변 신경과의 거리도 고려해야 하므로
CT를 통한 정밀한 진단을 선행 후
발치를 진행하고 있어요.
팔달구치과 본원에서는
사랑니의 위치와 형태, 신경과의 거리까지
정밀하게 분석한 뒤
풍부한 경험을 바탕으로 진단하며
복잡한 형태도 무리 없이 발치를 진행 할 수 있게
세심한 시술로 환자분들의
불편함을 줄여드리고 있어요.

오늘은 양쪽 아래 사랑니를 발치한
환자분의 사례를 소개해 드리고자 하는데요.
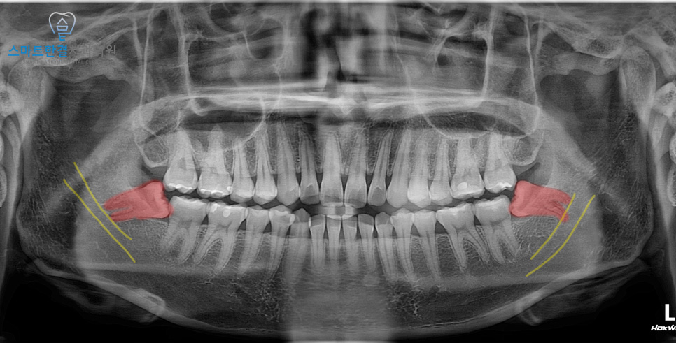
환자분께서는 양쪽 사랑니가
옆으로 비스듬히 누워 자라 있는 상태로,
음식물이 잘 끼고 피곤할 때마다
잇몸이 붓고 불편함을 느껴
본원에 내원해 주셨어요.
머리 일부가 잇몸 밖으로 노출되어 있었고,
관리가 어려워 플라그와
음식물이 끼어 있는 상태였으며
잇몸에 염증이 있는 상황이었는데요.
양쪽을 동시에 발치하기에는
식사에 불편함이 클 수 있고,
환자분께서도 한쪽씩 나누어
발치하길 원하셨어요.
그래서 본원에서는 먼저
오른쪽 사랑니를 진행 후
잇몸이 어느 정도 회복된 약 2주 뒤에
왼쪽 발치를 하기로 계획을 세웠어요.^^

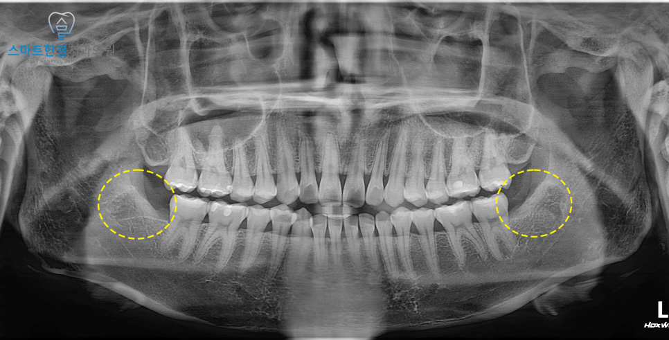
양쪽을 깨끗하게
발치 후 촬영한 사진인데요.
양쪽 사랑니 모두
비스듬히 누워 있었기 때문에
치아를 분할한 뒤 발치를 진행했어요.
오른쪽은 비교적 무리 없이
발치가 가능했지만,
왼쪽 사랑니는 뿌리가 휘어져 있어
치료 과정에서 뿌리가 부러질 가능성이 높아
더욱 세심한 접근이 필요했어요.
만약 도중에 뿌리 쪽이 부러지게 되면,
그 부러진 조각을 제거하기 위해
더 깊은 부위까지 기구를 넣어야 하고
특히 사랑니 뿌리와 신경관이 가까운 경우
그 과정에서 신경 손상이 발생할 수 있기 때문에
한층 더 조심스럽게 진행했는데요.
큰 문제 없이 부러지지 않고
깨끗하게 발치가 완료되었고,
환자분께서도 큰 통증 없이
마무리되셔서 만족해하셨어요.^^

팔달구치과 사랑니 발치 전
본원에 내원해 주셨을 때는
잇몸이 부어 불편감으로 많이 힘들어하셨으나,
후에는 붓기와 통증이 점차 가라앉으면서
이전보다 훨씬 편안해졌다고 말씀해 주셨어요.^^
이렇게 사랑니 같은 경우에는
다른 치아들과는 다르게,
잇몸 깊숙이 매복되어 있거나
뿌리 형태가 복잡한 경우가 많아
정밀한 진단과 세심한 계획이 무엇보다 중요해요.
무리해서 발치할 경우
오히려 신경 손상이나 잇몸 조직 손상 등
부작용이 발생할 수 있기 때문에,
팔달구치과 스마트한결에서는
사랑니 발치는 단순한 시술이 아닌
경험과 기술이 필요한
전문적인 치료라고 생각하고 있어요.
사랑니로 인해 평소 잇몸이 자주 붓거나
불편함을 느끼고 계시다면,
또는 발치를 고민 중이시라면
스마트한결치과에 방문하셔서
정밀한 진단과 상담을 받아보시는 것을 추천드려요.
저희 치과는 항상 한 분 한 분의
상태에 맞춘 맞춤형 진료를 바탕으로,
부담을 줄이고 안정적으로
치료받으실 수 있도록
정성을 다하고 있어요.😊

스마트한결치과 박한결 대표원장님께서는
국내외 다양한 학술활동과
대학병원 교수 생활 및 풍부한 임상경험을 토대로
복잡하고 까다로운 사랑니 케이스도
섬세하고 안정적으로 진료하고 계세요.
궁금하신 점이 있으시다면
언제든 스마트한결치과에
문의 주시길 바랍니다.
감사합니다. ~^^
*모든 증례 사진은 의료법 제23조, 제56조에 의거하여 환자분의 동의하에 업로드가 진행되었습니다.
*치료 사진은 모두 본원에서 치료한 환자분의 사진입니다.
*치료 사진은 모두 동일인의 사진이며, 동일 조건에서 촬영하였습니다.
*개인의 차이에 따라 시술 및 수술 후 부작용이 발생할 수 있으며, 의료진과 충분한 상담을 받으시기 바랍니다.
팔달구치과 팔달구치과