화서동치과 신경치료를 받았던 치아가 씹을 때 아파요

안녕하세요.
화서동치과
스마트한결치과입니다.😊
오늘은 재신경치료를
진행한 환자분을
소개해 드리려고 합니다!
신경치료는 치아 내부의
염증을 제거해 통증을 없애고
치아를 보존하기 위한 치료인데요.
하지만 치료가 한 번으로
완전히 마무리되지 않는
경우도 있어요.
시간이 지나면서 치아 뿌리 끝에
염증이 다시 생기거나,
기존 치료 당시 발견되지 않았던
감염원이 남아 증상이
재발하기도 해요.
이런 경우 단순한 약물치료로는
해결이 어렵고,
치아를 살리기 위해
재신경치료가 필요할 수 있어요.
오늘은 화서동치과 스마트한결에서
재신경치료를 진행한 사례를
설명해드리도록 하겠습니다!

23.10.19
위 환자분께서는
오래전 신경치료를 받았던 치아가
씹을 때 마다 아프고 불편하다며
화서동치과 스마트한결에
내원해 주셨는데요.
겉으로 보기에는 큰 문제가 없어 보였지만,
내부에서 문제가 생겼을 수 있기 때문에
자세히 확인을 해보기로 했어요.

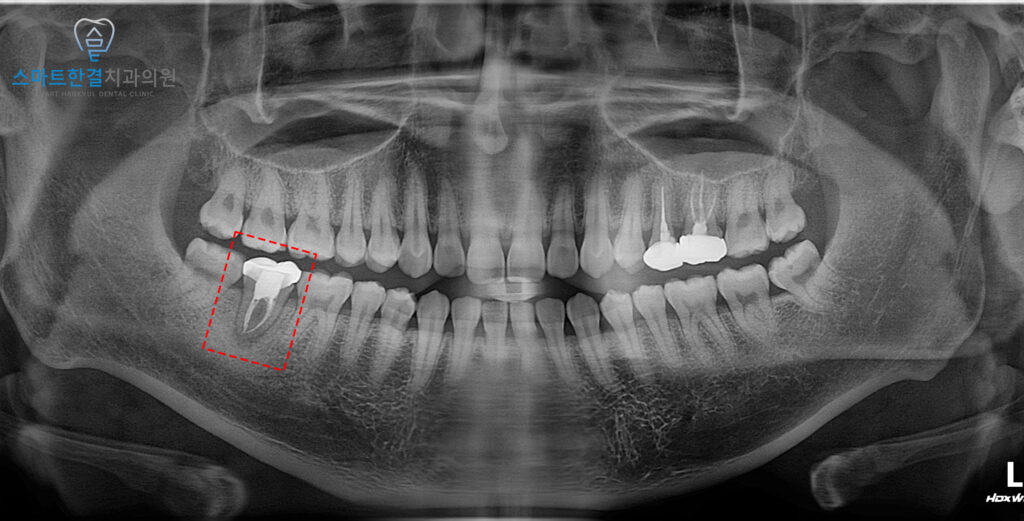
23.10.19
파노라마를 촬영하여 확인해 보니,
신경치료를 받았던 치아 뿌리로
염증이 잡혀있는 것을 확인할 수 있었어요.
신경치료를 진행한 치아에
다시 염증이 생기는 원인은 다양해요.
치아 뿌리 내부 구조가
매우 복잡해 초기 신경치료 시
미처 제거되지 않은 세균이 남아 있을 수 있고,
시간이 지나면서 보철물의 틈이나
미세한 균열을 통해 세균이
다시 침투하는 경우도 있어요.
또한 오래된 신경치료의 경우
치료 당시의 한계로 인해
감염이 완전히 차단되지 못해
뿌리 끝 염증으로 이어지기도 해요.
본원은 가능한 한 자연치아를
살리는 치료를 우선으로 하고 있기 때문에,
발치보다는 재신경치료를 통해
치아 내부의 감염원을 다시 제거하고
염증을 해결하는 방향으로
치료 계획을 수립하였어요.

먼저 기존에 씌워져 있던 크라운과
이전 신경치료 과정에서 사용되었던
신경치료 재료들을 모두 제거한 후,
치아 내부 상태를 다시 한번
꼼꼼하게 확인했어요.
이후 치아 뿌리 안쪽에 남아 있던
감염 조직과 세균을 깨끗하게 제거하고,
각각의 뿌리 길이와 형태에 맞춰
정밀하게 소독과 세척 과정을
반복적으로 진행했어요.
재신경치료는 기존 치료보다
더 세심함이 필요한 만큼,
치아 내부를 충분히 정화한 뒤
다시 신경관을 밀봉하여
염증이 재발하지 않도록 마무리했어요.
신경치료를 마무리한 후에는
크라운을 재제작하여
교합과 착용감을 꼼꼼하게 확인한 뒤
치아를 안정적으로 보호할 수 있도록
마무리해드렸어요.
이렇게 치료가 마무리된 후
8개월 뒤 내원하셨을 때
불편감 없이 잘 사용하고 계셨어요.

치료를 마무리한 이후에는
정기적인 경과 확인을 위해
지속적으로 내원해 주셨는데요.
위 사진은 신경치료 후
1년 8개월이 지난 사진으로
뿌리 끝 잡혀있던 병소도 전부 사라지고
증상도 없어졌어요.
재신경치료는 초기 신경치료에 비해
치료 난이도가 높고
치아 상태에 따라 성공률에
차이가 있을 수 있어요.
하지만 정밀한 진단과
치료가 이루어진다면
발치 없이도 자연치아를
오래 유지하는 것이
충분히 가능합니다.

화서동치과 스마트한결치과의
재신경치료 전후 사진이에요.
환자분께서는 신경치료를 받았던 치아의 염증이 생겨
살리지 못하고 발치를 해야할까 싶어
걱정을 많이 하셨으나
재신경치료를 통해 살리게 되어 다행이라며
만족해 주셨어요.
이처럼 신경치료를 받은 치아라도
통증이 반복되거나 불편함이 느껴진다면
무조건 발치를 결정하기보다는
재신경치료를 통해
자연치아를 살릴 수 있는 방법이 있는지
먼저 확인해 보시는 것이 중요하답니다.

화서동치과 스마트한결은
가능한 한 자연치아를 살리는 것을
치료의 가장 중요한 기준으로 삼고 있어요.
신경치료 후 통증이 반복되거나
치아 뿌리 염증으로 발치를 고민하고 계시다면,
무조건 발치를 결정하기보다는
재신경치료를 통해
치아를 살릴 수 있는 방법이 있는지
먼저 정밀한 진단을 받아보시길 권해드려요.
앞으로도 환자분의 치아를
오래, 건강하게 유지할 수 있도록
정직하고 세심한 진료로
도와드리겠습니다.
감사합니다~^^
*모든 증례 사진은 의료법 제23조, 제56조에 의거하여 환자분의 동의하에 업로드가 진행되었습니다.
*치료 사진은 모두 본원에서 치료한 환자분의 사진입니다.
*치료 사진은 모두 동일인의 사진이며, 동일 조건에서 촬영하였습니다.
*개인의 차이에 따라 시술 및 수술 후 부작용이 발생할 수 있으며, 의료진과 충분한 상담을 받으시기 바랍니다.