화서동치과, 왼쪽 위 치아가 갑자기 불편해요

안녕하세요.
화서동치과
스마트한결치과입니다. 🙂
오늘은 왼쪽 위 신경치료 및 크라운을
진행한 환자분을 소개해 드리려고 합니다. 😊
치아는 겉으로 보이는 부분뿐 아니라
뿌리 끝까지 건강해야
정상적인 기능을 유지할 수 있어요.
그러나 충치나 외상,
반복적인 자극 등으로 인해
치아 내부의 신경과 혈관이 감염되면
염증이 뿌리 끝까지 확산될 수 있는데요.
이러한 상태가 지속되면
주변 뼈 조직까지 영향을 주면서
통증, 압통, 부종이 나타나거나
심한 경우 잇몸에 고름이 배출되는 통로인
누공이 형성되기도 해요.
이처럼 치근단 염증과
누공이 동반된 경우에는
단순한 치료로는 해결이 어렵기 때문에
감염된 신경 조직을 제거하고
내부를 소독하는 신경치료가 필수적인데요.
이후 약해진 치아를 보호하고
기능을 회복하기 위해
크라운 치료까지 이어지는
경우가 많아요.
이러한 치료 과정을 통해
감염을 제거하고
치아를 보존하는 것이 중요하답니다.
오늘은 화서동치과 스마트한결에서
신경치료를 진행한 사례를
설명해 드리도록 하겠습니다!

25.01
위 환자분께서는
왼쪽 위 치아의 불편감으로
본원에 내원해 주셨는데요.
내원 당시 해당 부위에는
고름이 형성되어 있었으며,
잇몸을 통해 배출되는
양상이 관찰되었어요.
또한 해당 치아를 건드리거나 씹을 때마다
통증을 지속적으로
호소하고 계신 상태였어요.

25.01
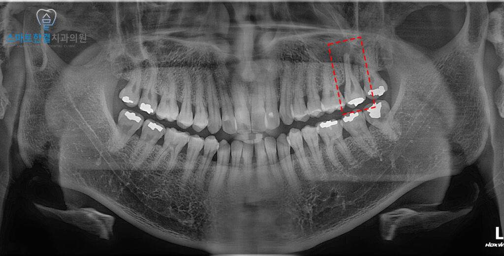
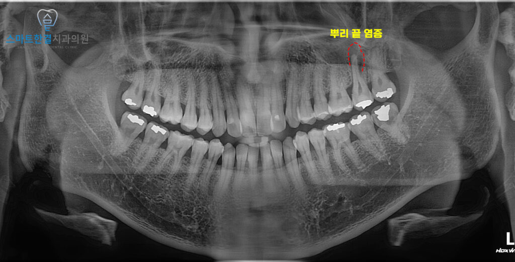
파노라마 상에서
치아 뿌리 끝으로 염증이 잡혀있는 모습을
확인할 수 있었어요.
이는 치아 내부 감염이
치근단까지 진행된 상태로,
주변 골 조직의 손상까지
동반된 것으로 판단할 수 있었는데요.

25.01
더 정밀한 확인을 위해
3D CT를 촬영해보았는데요.
CT 상에서도 해당 치아 뿌리 끝 주변으로
염증 범위가 비교적 넓게 형성되어 있는
모습이 확인되었어요.
이에 화서동치과 스마트한결에서는
감염된 신경 조직을 제거하고
염증의 원인을 근본적으로 해결하기 위해
신경치료를 진행하기로
계획을 수립했답니다!

먼저 신경치료를 진행하며
내부의 감염된 신경 조직을 제거하고
세균이 남지 않도록 근관 내부를
깨끗하게 세척·소독해 주었어요.
이후 뿌리 끝까지 밀폐 충전을 시행하여
재감염을 방지하고,
염증이 점차 회복될 수 있도록
치료를 마무리했어요.
신경치료 이후 뿌리 끝 염증이
점차 완화되는 것을 확인할 수 있었으며
잇몸에 형성되어 있던 누공 또한
점차 사라지는 양상을 보였는데요.
이에 기능적으로 약해진 치아를 보호하고
재파절을 예방하기 위해
최종적으로 크라운 치료를 진행하였으며,
현재는 통증 없이 안정적으로
일상적인 저작이 가능한
상태를 유지하고 있답니다.^^

화서동치과 스마트한결치과의
신경치료 전후 사진이에요.
환자분께서는 염증으로 인해
많은 불편함을 호소하셨으나,
신경치료를 진행 후
통증이 없어져 다행이라며
매우 만족해 주셨어요.
이처럼 치아 뿌리 끝까지 염증이 진행된 경우에도
적절한 시기에 신경치료를 시행한다면
자연치아를 발치하지 않고 보존할 수 있어요.
특히 누공이나 고름이 동반된 상태라 하더라도
정밀한 진단과 체계적인 치료가 이루어진다면
통증 완화와 함께 기능 회복까지
충분히 기대할 수 있답니다.

화서동치과 스마트한결은
환자분의 치아 상태를
정밀하게 파악하기 위해
정밀 진단 장비를 활용한
체계적인 검진을 우선으로 하고 있어요.
또한 풍부한 임상경험을 토대로
개개인의 상태에 맞춘
맞춤 치료 계획을 통해
불필요한 치료는 줄이고,
자연치아를 보존하는 방향으로
진료를 진행하고 있어요.
치료 전후까지 꼼꼼하게 관리하여
보다 편안하고 만족스러운 결과를
느끼실 수 있도록 노력하고 있어요.
위 사례와 같이 뿌리 끝 염증으로 인해
치아가 불편하다면 방치하지 말고
화서동치과 스마트한결에서
정밀한 진단을 받아보시길 바래요!
감사합니다~^^
*모든 증례 사진은 의료법 제23조, 제56조에 의거하여 환자분의 동의하에 업로드가 진행되었습니다.
*치료 사진은 모두 본원에서 치료한 환자분의 사진입니다.
*치료 사진은 모두 동일인의 사진이며, 동일 조건에서 촬영하였습니다.
*개인의 차이에 따라 시술 및 수술 후 부작용이 발생할 수 있으며, 의료진과 충분한 상담을 받으시기 바랍니다.