화서동치과 충치 때문에 치아가 불편해요

안녕하세요.
화서동치과
스마트한결치과입니다.😊
오늘은 상악동거상술을 동반한 임플란트를
진행한 환자분을
소개해 드리려고 합니다!
어금니 부위는 씹는 기능을 담당하는
중요한 영역이지만,
충치나 치아 발육 문제로 인해
치료가 필요한 경우가 적지 않아요.
특히 치아가 잇몸 밖으로
제대로 나오지 않는 미맹출 치아나,
심하게 진행된 충치는
장기간 유지하기 어려워
발치가 불가피한 경우가 많은데요.
이때 단순히
치아만 제거하는 것이 아니라,
이후의 저작 기능과 구강 건강을
함께 고려한 치료 계획이 중요해요.
위쪽 어금니를 발치하면
그 아래에 위치한 상악동 때문에
뼈의 높이가 부족해지는 경우가 흔해요.
이런 상태에서 바로 임플란트를
식립하기 어렵기 때문에,
뼈와 잇몸이 충분히 회복될 시간을 가진 뒤
상악동을 조심스럽게 들어 올려
공간을 확보하는 상악동 거상술을
시행하게 돼요.
오늘은 화서동치과 스마트한결에서
상악동거상술 및 임플란트를 진행한
사례를 설명해 드리도록 하겠습니다!

25.01.22
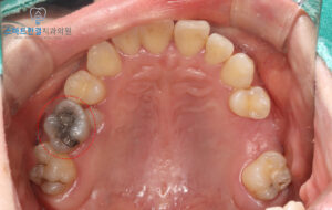
위 환자분께서는
오른쪽 위 충치가 생겨 불편하다며
본원에 내원해 주셨는데요.

25.01.22
확인해 보니 큰 어금니에는
오래전에 치료했던 광범위한
아말감이 남아 있는 상태였어요.
아말감은 과거에
많이 사용되던 재료이지만,
시간이 오래 지나면 치아와
재료 사이에 미세한 틈이
생길 수 있어요.
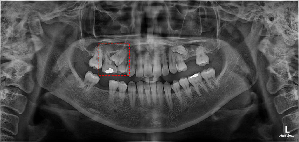
파노라마 사진을 촬영해 보니,
인접면으로 충치가 생겨
치아 뿌리 쪽까지
이어진 상태였는데요.
이 정도로 진행된 충치는
단순한 재치료로는
예후를 기대하기 어렵기 때문에,
장기적인 구강 건강을 위해
발치를 고려할 수밖에 없는
상황이었답니다.

25.01.22
이처럼 충치가 심하게 진행된 큰 어금니는
발치하고 임플란트 식립을
진행하는 방법도 고려할 수 있어요.
하지만 문제는
여기서 끝나지 않는데요.
인접한 작은 어금니가
잇몸 속에 묻혀 있는
미맹출 상태였기 때문이에요.
해당 치아는 위치상 교정을 통해
살려보는 방법도 검토했지만,
뿌리가 짧고 전반적인 예후가
좋지 않다고 판단되었어요.
이에 화서동치과 스마트한결은
장기적인 안정성과
향후 재치료 가능성을 고려해,
큰 어금니와 함께 발치를
진행하기로 결정했답니다!

25.01.22
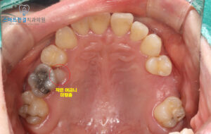
이렇게 두 치아를 발치했어요.
해당 부위는 치아 두 개가 연속으로 빠지면서
결손 범위가 비교적 컸고,
위쪽 어금니 부위 특성상 상악동저와
매우 가까운 위치에 있었어요.
이로 인해 잇몸뼈의 높이가
충분하지 않은 상태였으며,
바로 임플란트를 식립하기에는
안정성이 떨어질 수 있는
상황이었어요.
따라서 무리한 치료보다는
발치 후 잇몸과 잇몸뼈가
충분히 회복될 시간을 가진 뒤,
보다 안정적인 방법으로
치료를 진행하기로 했어요.

25.09.06
이렇게 어느정도의 잇몸이 회복된 후
임플란트 식립을 진행했어요.
먼저 잇몸뼈의 가장 위쪽인
치조정 부위로 접근하여,
상악동 안쪽에 있는 얇은 막을
조심스럽게 들어 올리는
상악동 거상술을 시행했답니다.
이 과정을 통해 임플란트를
심을 수 있는 공간을 확보한 뒤,
충분한 지지력을 얻을 수 있도록
임플란트를 안정적으로 식립했어요.
더불어 잇몸뼈가 부족한 부위에는
뼈이식을 함께 진행하여,
임플란트 주변을
단단하게 보강해 주었어요.

25.09.06
이렇게 임플란트를 식립하면서
뼈이식을 비교적 넓은 범위로
함께 진행했기 때문에,
수술 후 감염 관리가
무엇보다 중요했는데요.
수술 부위에 세균 감염이 발생할 경우
뼈이식의 성공률과 임플란트의
안정성에 영향을 줄 수 있어,
초기 회복 과정에서
더욱 세심한 관리가 필요해요.
이에 따라 환자분께도
수술 후 주의사항과
구강 위생 관리의 중요성에 대해
충분히 안내했어요.
이러한 관리 과정을 통해
염증이나 감염 없이
안정적인 회복을
기대할 수 있도록 했어요.

이렇게 치유 기간을 거친 뒤
임플란트가 잇몸뼈에 결합된 것을 확인하여
최종 보철 작업을 시작했어요.
맞춤형 지대주와 크라운을 하나씩 맞춰보며
주변 치아와의 색상과 형태,
그리고 씹을 때 불편함이 없도록
교합 상태를 세심하게 확인했어요.
이러한 과정을 통해
자연치아와 비슷한 느낌을 구현하고,
일상생활에서 편안하게
사용할 수 있도록
마무리하였답니다!(^^)

25.01.22 / 25.09.06
화서동치과 스마트한결치과의
임플란트 수술 전후 사진이에요.
환자분께서는 충치가 심한 치아뿐만아니라
미맹출되어있는 치아쪽으로
관리가 힘들었는데
두 치아를 함께 해결할 수 있어서
다행이라며 만족해 주셨어요.
이처럼 단순히 눈에 보이는 문제 치아만
치료하는 것이 아니라,
주변 치아의 상태와 장기적인 예후까지
함께 고려한 치료 계획은
보다 안정적인 결과와 높은 만족도로
이어질 수 있어요.

화서동치과 스마트한결치과는
현재의 치아 상태만을 보고
치료를 결정하기보다
원인과 예후, 그리고 앞으로의 사용까지
함께 고려한 맞춤 진료를
중요하게 생각해요.
구강악안면외과와 통합치의학과 더블보드 전문의인
박한결 대표원장님께서
진단부터 수술, 관리까지
직접 책임 진료를 진행하며,
복잡한 발치나 상악동 거상술, 임플란트 치료
역시 체계적으로 계획해
안정적인 결과를 추구해요.
앞으로도 환자분의
구강 상태를 세심하게 파악하여
단기적인 해결에 그치지 않고
장기적으로 건강하고 편안하게
사용할 수 있는 치료를
제공하겠습니다. 😊
감사합니다~^^
*모든 증례 사진은 의료법 제23조, 제56조에 의거하여 환자분의 동의하에 업로드가 진행되었습니다.
*치료 사진은 모두 본원에서 치료한 환자분의 사진입니다.
*치료 사진은 모두 동일인의 사진이며, 동일 조건에서 촬영하였습니다.
*개인의 차이에 따라 시술 및 수술 후 부작용이 발생할 수 있으며, 의료진과 충분한 상담을 받으시기 바랍니다.
화서동치과